Grossesse extra-utérine tubaire distale évolutive âgée de 9 SA et 2 jours : activité cardiaque positive ; mouvements actifs positifs ; longueur craniocaudale égale à 26,4 mm - coupe transverse de l'utérus

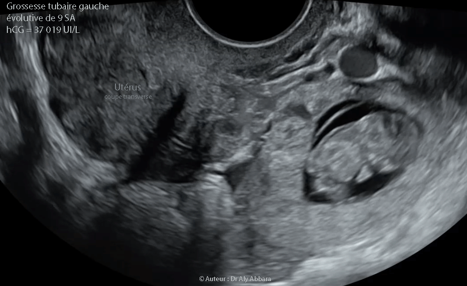
Grossesse extra-utérine tubaire gauche évolutive de 9 SA et 1 J

  • Images cliniques peropératoires et une séquences vidéos (type *.MP4 et GIF animé) d'une exploration échographique par voie transvaginale (coupe transverse de l'utérus) mettant en évidence la présence d'une grossesse extra-utérine évolutive de la portion moyenne de la trompe utérine gauche et âgée de 9 SA et 1 jours :

  • Sur d'autres coupes, on observe la présence d'une petite lame d'épanchement intra-péritonéal située exclusivement dans le cul-de-sac de Douglas.

  • Il s'agissait d'une grossesse extra-utérine tubaire gauche en voie de fissuration.

  • Cette grossesse ectopique tubaire gauche évolutive est associée à un tableau clinique comportant un retard de règles d'une durée indéterminable par la patiente avec des métrorragies depuis quelques jours, mais aucune douleur spontanée ou provoquée lors l'examen clinique et échographique.

  • Biologie : le dosage de β-hCG plasmatique était égal à 37 019 UI/l.

 

 Site : Dr Aly Abbara
Mise à jour : le 25 Novembre, 2017

Images  cliniques  suggérées par  Dr M. Khalaf  et prise en charge chirurgicale  par
Dr M. Khalaf et W. El Hajj (Centre Hospitalier de Longjumeau - 91160 - Essonne)

France
 

aly-abbara.com
Paris / France