Grossesse extra-utérine sous-séreuse utérine - Images échographiques

Grossesse extra-utérine sous-séreuse utérine - Images échographiques
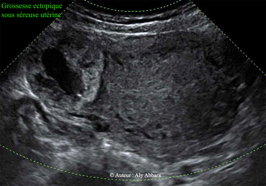
  • Images échographiques par voie endovaginale montrant un sac gestationnel d'une grossesse débutante implantée à l'extérieur de la corne utérine droite du corps utérin, et à l'extérieur du myomètre (absence de couche myométriale autour du sac gestationnel permettant d’exclure le diagnostic de grossesse ectopique interstitielle ou cornuale).

  • Ce sac gestationnel mesure 41,5 x 37,1 x 41,9 mm de diamètres (soit 33,8 cm3) ; il contient une vésicule ombilicale et un embryon de 8 mm sans activité cardiaque (donc grossesse arrêtée à 6+5 SA) ; le dosage de β-hCG plasmatique était égal à 65 500 UI/l.

  • La cœlioscopie permet de constater qu'il s'agit d'une localisation inhabituelle de la grossesse extra-utérine : sac gestationnel évoluant sous la séreuse utérine, sur la paroi postérieure du corps utérin, en arrière de la jonction utéro-tubaire droite. De ce fait, la trompe droite paraissait tout à fait normale sur la totalité de sa longueur ; elle n'est pas concernée par cette grossesse ectopique juxtaposée.

    La description anatomique retenue puis confirmée après exérèse chirurgicale est celle « d'une grossesse ectopique sous séreuse utérine »

Histoire de la maladie :

Patiente âgée de 28 ans, IVe geste, IIe pare, ayant dans ses antécédents deux accouchements par voie naturelle, à terme, en 2009 et 2011, puis une fausse-couche spontanée en mai 2013.

Date des dernières règles : absence de règles depuis la dernière fausse-couche.

Le 13.09.2013 : la patiente consulte aux urgences pour métrorragies modérées depuis une semaine sans aucune douleur pelvienne.
L'examen clinico-échographique permet de mettre en évidence de la présence effective de métrorragie modérée provenant de la cavité utérine sans aucune douleur provoquée ou spontanée.

A l'échographie : l'endomètre est 5 mm d'épaisseur ; absence d'épanchement péritonéal ; la présence du sac gestationnel décrit dans cette page, situé latéralement à droite, en contact direct avec la corne utérine et le tiers supérieur du bord latéral droit du corps utérin.
Le diagnostic de grossesse ectopique interstitielle (cornuale) n'a pas été retenu, parce que le sac gestationnel évolue, comme on peut le constater sur les images échographiques, à l'extérieur du myomètre ; il s'agit plutôt échographiquement d'une grossesse ectopique évoluant dans la portion isthmique de la trompe droite.

Dosage de BHCG à 65 500 UI/l, puis 67 586 UI/L 48 heures plus tard.

Devant l'importance du risque potentiel de rupture spontanée de cette grossesse ectopique, l'option de traitement chirurgical a été choisie.

Cœlioscopie (16/09/2013) :
Utérus antéversé antéfléchi caractérisé par la présence d'une masse violacée de 5 cm de grand axe, évoluant sous la séreuse de la paroi postérieure de l'utérus, en arrière de la jonction utéro-tubaire droite et dans le flac droit du corps utérin.
La trompe droite est tout à fait normale ; ses deux portions (isthmique et interstitielle) ne sont pas concernées par ce sac gestationnel évoluant dans une zone sous séreuse juxtaposée postérieure.

Une exérèse laborieuse cœlioscopique a été réalisée, avec hémostase du lit de l'implantation du sac gestationnel sur le myomètre par deux points séparés en X au fil résorbable n° 1.

Suites chirurgicales simples.


Diagnostic échographique : Dr Aly ABBARA ; Dr Kaddioui Sahar.
Traitement chirurgical : Dr El Hajj Waël.
Création des images, texte, pages et publication : Dr Aly ABBARA

 

 Site : Dr Aly Abbara
Mise à jour : le 15 Novembre, 2020
 

aly-abbara.com
avicenne.info
mille-et-une-nuits.com
Paris / France