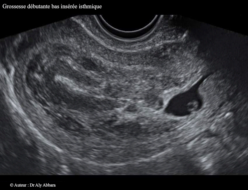
geu d'implantation isthmique utérine
J0
GEU-isthmique - J2
J2
GEU itmique utérine - J4
J4

GEU isthmique utérine -  J6
J6

  • Images échographiques montrant l'évolution spontanée d'une grossesse débutante à insertion basse, dans la zone isthmique de la cavité utérine (grossesse isthmique utérine).

  • Biologiquement : au moment du premier examen échographique (J/0) le dosage de β-hCG plasmatique était égal à 10 400 UI/l.

  • Cliniquement : 2ème geste avec antécédent d'accouchement normal.
    6 SA ; des légères douleurs pelviennes associées à des spottings intermittents.

  • Échographiquement on peut observer à travers les images ci-dessus que le sac gestationnel qui s'est implanté dans la région isthmique de la cavité utérine continue à évoluer lors du contrôle, à 2 jours et à 4 jours après l'examen initial, avec l'apparition d'une image embryonnaire munie d'une activité cardiaque et mesurant, à J4, 2,3 mm.
    Le sac gestationnel était partiellement décollé au niveau de son pôle supérieur dès l'examen initial. Ce décollement s'élargissait à J2 et à J4 ; il est à l'origine (dès l'examen initial) de la formation d'une hématométrie qui s'aggravait au cours du développement de la grossesse (36 ml à J4 et 47 ml à J6) ; deux éléments participaient à sa formation : le décollement progressif du sac gestationnel et l'effet de bouchon exércé par ce sac sur le canal cervical en l'obstruant au niveau de son orifice interne.

    A J6 : on observe l'arrêt de l'activité cardiaque embryonnaire et l'écrasement du sac gestationnel et son engagement partiel dans le canal cervical sous l'effet des contractions utérines et la pression exercée par la volumineuse hématométrie.

    à J10, l'utérus a été vidé de son contenu par une révision utérine.

        Auteur : Dr Aly Abbara
Mise à jour : le 15 Novembre, 2020
 

aly-abbara.com
avicenne.info
mille-et-une-nuits.com
Paris / France