Agénésie complète du corps calleux - Colpocéphalie ou la dilatation de la corne postérieure des ventricules latéraux - Échographie

l'absence du cavum du septum pellucidum entraînent un écartement excessif entre les cornes antérieures des ventricules latéraux et leur parallélisme l'une par rapport l'autre et par rapport avec la ligne médiane

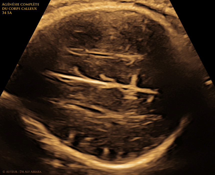
Images et séquences vidéo échographique montrant la présence d'une agénésie complète du corps calleux chez un foetus âgé de 34 SA.

On identifie sur ces images :

  • Une dilatation des ventricules latéraux :
    • cette dilatation ventriculaire est localisée particulièrement au niveau des cornes postérieures tout en épargnant les cornes antérieures qui conservent leur diamètre normal ; ce phénomène donne aux ventricules latéraux dilatés l'aspect d'une "goutte d'eau" reconnue sous l'appellation " colpocéphalie ".

    • l'absence du cavum du septum pellucidum entraînent un écartement excessif entre les cornes antérieures des ventricules latéraux et leur parallélisme l'une par rapport l'autre et par rapport avec la ligne médiane.


Colpocéphalie (colpocephaly) :

  • La " colpocéphalie - colpocephaly " est une forme particulière des anomalies des ventricules latéraux et qui peut être constatée dans les agénésies du corps calleux, elle regroupe : la dilatation du carrefour postérieur et de la corne occipitale du ventricule latéral avec des cornes antérieures exagérément écartées tout en gardant une largeur normale de leur diamètre.
    La dilatation centrée au niveau du carrefour ventriculaire postérieur et de la corne postérieure du ventricule latéral, donne à cette partie un aspect particulier décrit comme étant ressemblant à " une goutte d'eau " sur la coupe axiale du cerveau fœtale.

    • 3 % des ventriculomégalies modérées sont associées à une agénésie du corps calleux.

    • Sur la coupe coronale (frontale), dans l'agénésie complète du corps calleux, on peut mettre en évidence :
      • l'absence totale du corps calleux ; les deux hémisphères cérébraux sont seulement reliés par le toit du troisième ventricule ;
      • une large fissure (scissure) inter-hémisphérique avec l'élévation du 3e ventricule qui reste en contiguïté avec la fissure interhémisphérique.
      • L'hyperéchogénicité des fornix est toujours absente et les thalamus sont largement écartés.
      • Les ventricules latéraux changent aussi d'orientation et se verticalisent (les parois internes des cornes antérieures et les corps des ventricules latéraux sont concaves en haut et en dedans).

      • Cette configuration des ventricules latéraux et du troisième ventricule, que l'on observe sur une coupe coronale du cerveau, a été décrite comme ressemblant aux "cornes de taureau", "casque de Viking", "tête de souris"...

    • Sur la coupe sagittale médiane, dans les agénésies complètes du corps calleux on peut observer :
  • Dans les agénésies partielles (dysgénésie du corps calleux - callosal dysgenesis), le splenium et le bec sont touchés, le genou et le corps sont présents à des degrés variables. La colpocéphalie est rarement présente ou très modérée ; l'ascension du troisième ventricule est souvent absente et enfin, on trouve l'aspect radiaire spécifique des sillons des faces internes des deux hémisphères cérébraux au niveau de la partie non formée du corps calleux (souvent au niveau du splenium).

  • Anomalies associées à l'agénésie du corps calleux :

    • Des anomalies du système nerveux central peuvent être observées dans 50 % des cas :
      • lipome du toit du troisième ventricule (masse médiane, hyperéchogène) ;
      • kyste inter-hémisphérique (souvent des kystes glio-épendymaires) ;
        • Le lipome et le kyste interhémisphérique forment un obstacle interférant avec le passage des fibres calleuses d'un hémisphère à l'autre et empêchent le développement du corps calleux.
      • syndrome de Dandy-Walker ;
      • hétérotopie et anomalies de gyration des hémisphères cérébraux ;
      • microcéphalie ;
      • encéphalocèle ; myéloméningocèle.

    • Anomalies corporelles dans 60 % des cas :
      • anomalies cardiaques ;
      • anomalies génito-urinaires : anomalies rénales, cryptorchidie ;
      • hernie diaphragmatique.

Étiologie :

  • Anomalies chromosomiques trouvées dans 10 à 20 % des cas (trisomie 18, 13 et 8 ; triploïdie, duplication partielle des chromosomes 4, 8 et 11).

  • Dans certains cas, il s'agit d'une anomalie génétique sporadique ou familiale, autosomique dominante, mais parfois récessive liée au chromosome X.

  • Certains facteurs étiologiques ont été incriminés :
    • infectieux : cytomégalovirose congénitale, rubéole congénitale ;
    • agents tératogènes : alcool, cocaïne, valproate, walfarine ;
    • lésions ischémiques, clastiques cérébrales ;
    • métaboliques : syndrome de Zellweger.

  • L'agénésie du corps calleux peut être présente dans certains syndromes polymalformatifs :

Fréquence :

  • Dans la population générale : 0,3 à 0,7 % et 2 à 3 % de la population neuro-psychiatrique.
  • L'incidence chez le fœtus est inconnue.

L'absence de cavum du septum pellucidum à l'échographie doit faire suspecter la présence d'une agénésie du corps calleux.

Pronostic :

  • Dans les cas isolés (sans d'autre anomalie associée) de l'agénésie du corps calleux (données pédiatriques) :
    • 75 % des enfants sont normaux, ou presque normaux, à l'âge de 3 ans.
    • Subtil défaut cognitif (qui concerne les moyens et mécanismes d'acquisition des connaissances) au cours de l'évolution ultérieure.

L'hypoplasie du corps calleux :

Elle est définie comme étant un amincissement et/ou une étroitesse du corps calleux complet. Elle survient après la 20e semaine de gestation, sous l'effet d'un agent agressif (souvent vasculaire, ischémique) sur un corps calleux complètement formé.


Auteur Dr Aly ABBARA
27 Novembre, 2018

Contacter Dr Aly ABBARA
  Paris / France