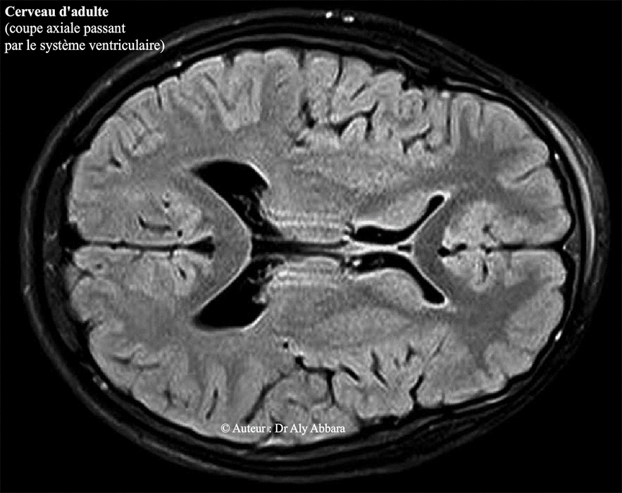
Cerveau d'adulte - IRM - Coupe axiale - ventricules
1

Cerveau d'adulte - coupe axiale passant par le système ventriculaire du cerveau (les ventricules latéraux et le 3° ventricule) - Image d'IRM
Voir : coupe axiale 2 ; coupe sagittale médiane

Auteur : Dr Aly Abbara
Mise à jour : le 9 Décembre, 2020

     
  aly-abbara.com
Paris / France