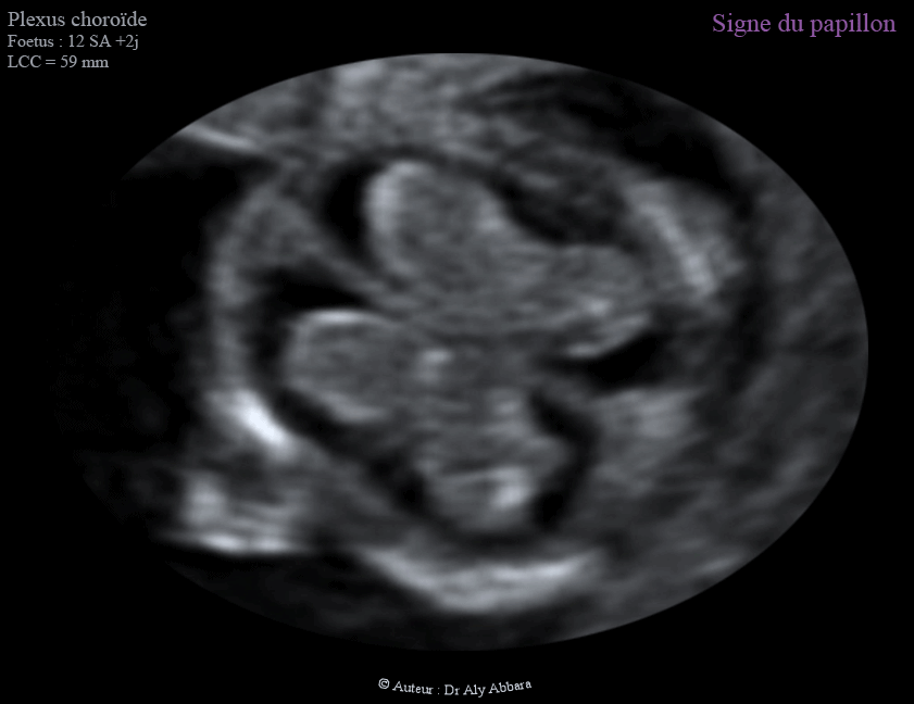
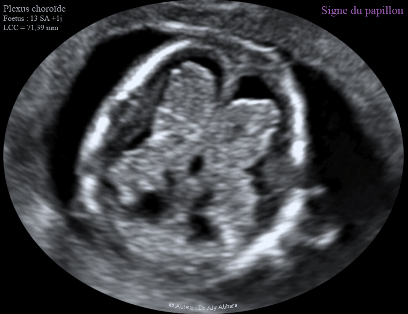
Les plexus choroïdes et le signe du papillon - 12 - 13 SA - الضفائر المشيمية في الدماغ وعلامة الفراشة

Les deux plexus choroïdes et le signe du papillon - 12 - 13 SA - الضفائر المشيمية في الدماغ وعلامة الفراشة


Le signe du papillon

Un signe échographique permettant d'exclure le diagnostic de l'holoprosencéphalie alobaire au cours du premier trimestre de la grossesse :

  • Au cours du premier trimestre de la grossesse, entre 11 et 14 SA, les deux plexus choroïdes normaux occupent largement les deux ventricules latéraux et composent ensemble une forme ressemblant à un papillon "signe du papillon - Butterfly sign" ; ce signe est absent dans l'holoprosencéphalie alobaire.

  • En cas d'holoprosencéphalie alobaire, on peut observer la présence d'un ventricule unique au lieu des deux ventricules latéraux du cerveau, puis l'apparence anormale des plexus choroïdes : absence du " signe du papillon "


 

Auteur Dr Aly ABBARA
12 Avril, 2021

Contacter Dr Aly ABBARA
  Paris / France