Kyste cytotrophoblastique intra-parenchymateux

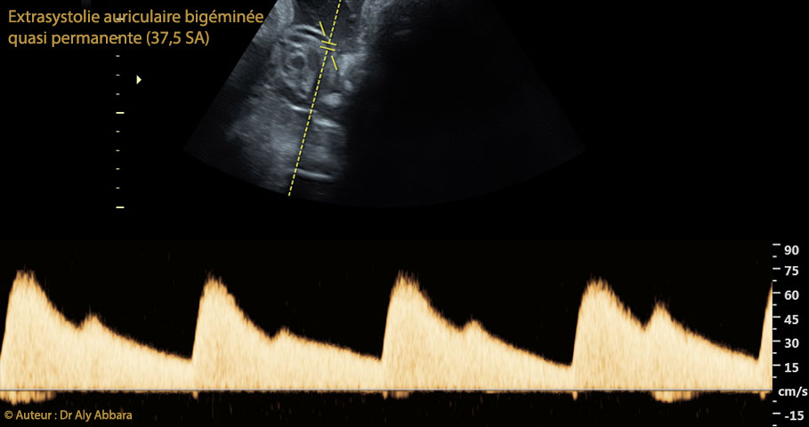
  • Vidéo et image échographique à 37,5 SA montrant une arythmie cardiaque fœtale de type " Extrasystolie auriculaire bigéminée quasi permanente ". Pas de signes d'intolérance cardiaque.

  • Le Doppler au niveau de l'artère ombilicale confirme le diagnostic d'extrasystolie bigéminée quasi permanente.

    • Cette extrasystolie auriculaire se manifestait lors du contrôle du rythme cardiaque foetal (RCF) à l'aide de la tococardiographie par une bradycardie fœtale sévère et permanente à environ 70 battements par minute sachant qu'à l'échographie la fréquence ventriculaire se situait entre 110 et 160 bpm.


Auteur Dr Aly ABBARA
20 Septembre, 2017

Contacter Dr Aly ABBARA
  Paris / France