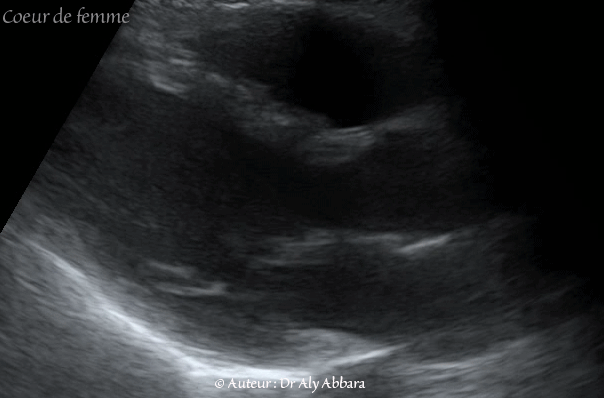
Echocardiographie - cœur d'une femme adulte - Continuité aorto-septale, aorto-mitrale - الإستمرارية التشريحية للإبهر مع الحاجز مابين البطيني ومع الصمام التاجي

Premiers battements cardiaques chez l'embryon, à 22 jours de gestation - أول دقات القلب عند مضغة بعمر 22 يوماً


Images échocardiographiques montrant, sur le cœur d'une femme adulte de 32 ans, l'aspect échographique de la continuité aorto-septale, aorto-mitrale.

La fréquence cardiaque calculée = 60 battements/minute.

Cette continuité aorto-septale et aorto-mitrale peut être observée sur le cœur fœtal.

الإستمرارية التشريحية للإبهر مع الحاجز مابين البطيني ومع الصمام التاجي


Auteur Dr Aly ABBARA
23 Octobre, 2015

Contacter Dr Aly ABBARA
  Paris / France