Artère ombilicale unique - grossesse de 33 SA - Absence de d'anomalie associée Artère ombilicale unique - grossesse de 33 SA - Absence de d'anomalie associée

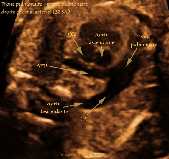
  • Cœur fœtal à 32 SA : coupe du tronc pulmonaire et ses branches

  • Cette image est l'illustration parfaite de la description anatomique suivante :

    • Au-dessous de la crosse de l'aorte le tronc pulmonaire se divise en artères pulmonaires droite et gauche et en canal artériel.

    • L'artère pulmonaire droite (APD) est plus longue et plus large que l'artère pulmonaire gauche ; elle chemine vers la droite horizontalement derrière l'aorte ascendante " Croisement de l'aorte et l'artère pulmonaire droite " et derrière de la veine cave supérieure avant d'atteindre le hile du poumon droit.

    • L'artère pulmonaire gauche (APG) chemine horizontalement vers la gauche, à l'avant de l'aorte descendante.


Auteur Dr Aly ABBARA
11 Avril, 2023

Contacter Dr Aly ABBARA
  Paris / France