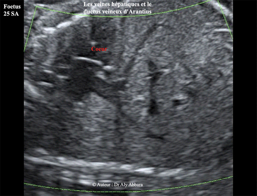
Les veines hépatiques, droite, intermédiaire et gauche, le canal veineux et la veine ombilicale gauche
 

Images échographiques montrant les trois veines hépatiques et leurs rapports anatomiques avec le ductus veineux (canal veineux), branche de la veine ombilicale gauche.

Sur cette image on peut remarquer que le ductus veineux est plus proche des veines hépatiques, gauche et intermédiaire (qui sortent du foie du même site) que la veine hépatique droite qui sort du foie d'un site un peu plus à droite que le site précédent.

Fœtus âgé de 25 SA dans le cas présent.

Les veines hépatiques sont souvent au nombre de trois : la veine hépatique droite ; la veine hépatique intermédiaire et la veine hépatique gauche. Ces veines quittent le foie au niveau de sa face supérieure dorsale et plus précisément de l'area ndua (zone rugueuse dépourvue de péritoine, car sa surface est formée par seulement la capsule conjonctive du foie).

Anatomiquement, la terminaison des veines hépatiques se trouve sur la paroi antérieure de portion terminale de la veine cave inférieure dans une zone située juste sous le diaphragme ; chez l'adulte, cette terminaison n'est éloignée de l'oreillette droite du cœur que de quelques centimètres ; donc dans les insuffisances cardiaques droites, il peut se produire un reflux de sang de l'oreillette droite vers le foie, ce reflux est à l'origine de l'hépatomégalie congestive dans ces pathologies cardiaques.


Auteur Dr Aly ABBARA
14 Décembre, 2020

Contacter Dr Aly ABBARA
  Paris / France