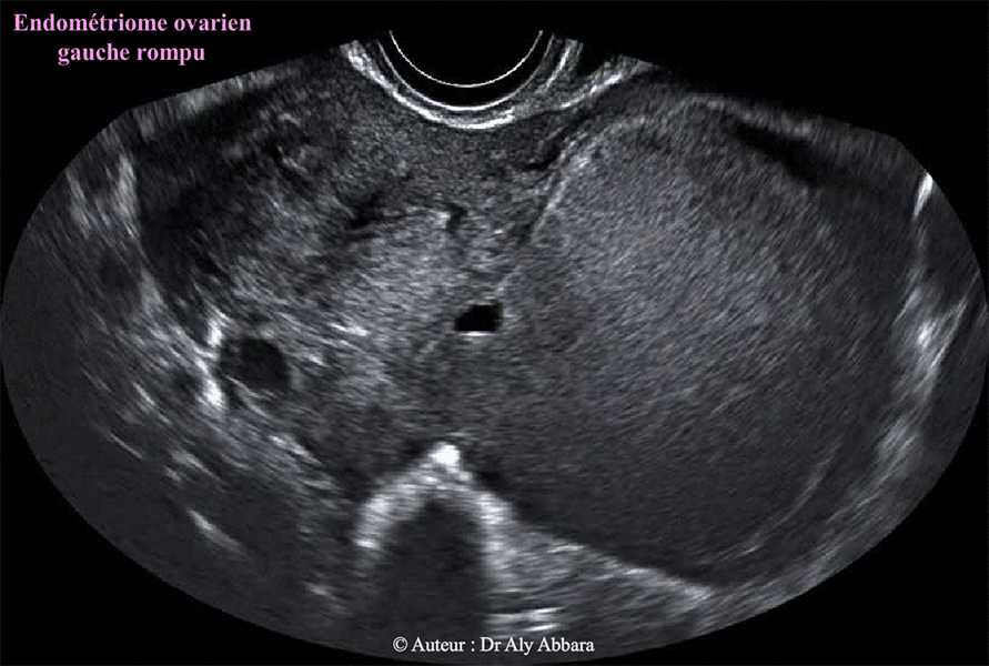
Kyste endométriosique rompu de l'ovaire gauche
Kyste endométriosique rompu de l'ovaire gauche

Kyste endométriosique rompu de l'ovaire gauche - Epanchement périhépatique

Endométriome ovarien gauche rompu avec la diffusion d'une partie de
son contenu dans la cavité péritonéale pour atteindre la région
péri-hépatorénale (espace de Morison)
L e tableau clinique est celui d'une péritonite généralisée


Aspect échographique


  • Images échographiques montrant l'aspect ultra-sonore d'un endométriome (kyste endométriosique) ovarien gauche de 128 cm3 de volume.

    Il s'agit d'une formation kystique uniloculaire mesurant (6
    6 x 64 x 58 mm) ; à paroi régulière, de 1 à 2 mm d'épaisseur, sans végétation endophytique.

    Le contenu du kyste est liquidien, homogène
    , hypo-échogène correspondant cliniquement à un liquide formé du sang lysé, concentré et épaissi, prenant un aspect chocolatoïde (comme le chocolat fondu), qu'on voit normalement dans les kystes endométriosiques (endométriomes).

    L'épanchement péritonéal
    possède les mêmes caractéristiques échographiques du contenu de cet endométriome ; cliniquement, il s'agit d'une partie du contenu liquidien chocolaté qui a échappé du kyste suite à sa rupture spontanée.

    Cet épanchement abondante
    et diffuse dans l'ensemble de la cavité péritonéale, atteint la région péri-hépatorénale (espace de Morison).

    Il s'agit d'une femme âgée de 3
    8 ans, mère d'un enfant âgé de 15 ans ; elle se présente au service des urgences pour une douleur abdomino-pelvienne évoluant et s'aggravant depuis trois jours, diffuse, constante,
    et majeure dans la région épigastrique et péri-ombilicale, avec une légère défense généralisée de la paroi abdominale et un météorisme qualifié de moyen. Pas de fièvre, ; la numération formule sanguine (NFS) met en évidence la présence d'une hyperleucocytose à 10,2 giga/l. L'ensemble du tableau clinique est en rapport avec une péritonite par irritation du péritoine au contact avec le contenu de l'endométriome rompu.

    L'exploration opératoire, et l'examen anatomopathologique confirment la nature histologique de ce kyste ; il s'agit d'un endométriome ovarien gauche rompu, isolé (kyste d'endométriose), sans aucune d'autre lésion abdomino-pelvienne ou péritonéale individualisable associée et sans phénomènes adhérentiels i
    ntra-abdominal.

Auteur : Dr Aly Abbara
Mise à jour : 12 Décembre, 2020

Atlas d'échographie
aly-abbara.com
Paris / France