Pied bot varus  unilatéral droit - 22 SA

Pied gauche en position normale - 22 SA

 
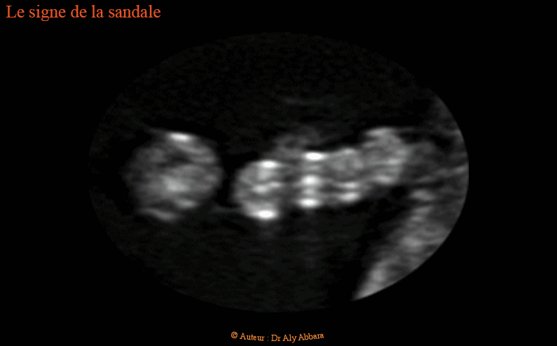
Signe de la sandale chez un nouveau-né trisomique 21 - Il s'agit d'un signe inconstant, plus évident aux mouvements du pied


Images cliniques et échographiques en 2D et en 3D montrant un écartement exagéré entre le grand orteil et le deuxième orteil des pieds (signe de la sandale).

Comme le montre la dernière image, ce signe n'est pas constant : absent quand le pied est en position de repos et plus net quand le même pied est en mouvement. Cette incnostance du signe de la sandale peut être également observée en échographie anténatale.

Le signe de la sandale fait partie des anomalies mineures parfois retrouvées en cas de trisomie 21 (comme c'est la situation, dans les cas présentés dans cet article), mais il peut être observé également chez des foetus normaux.


Auteur Dr Aly ABBARA
17 Août, 2016

Contacter Dr Aly ABBARA
  Paris / France