Brachydactylie, قِصر الأصابع - تثلث الصبغي 21

Brachydactylie, قِصر الأصابع - تثلث الصبغي 21


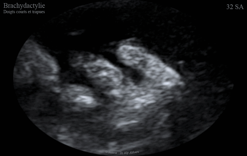
Images échographiques en 2D et en 3D montrant l'aspect ultra-sonre d'une brachydactylie : doigts courts et également trapues (larges et courts.

Ce signe fait partie des anomalies mineures parfois retrouvées en cas de trisomie 21 (comme c'est la situation, dans le cas présenté dans cet article).

La brachydactylie :

  • Anomalie caractérisée par la présence des doigts ou des orteils anormalement courts ; elle résulte d'une agénésie ou une réduction de la taille des phalanges (brachyphalangie).
  • La brachydactylie peut atteindre un ou plusieurs doigts (ou orteils). 
  • La brachydactylie s'observe dans :
    • les chondrodysplasies ;
    • les syndromes polymalformatifs
      • syndrome de Keutel (brachydactylie ; sténoses multiples de l'artère pulmonaire et surdité) ;
      • syndrome de Door (hypoplasie de la phalange terminale des orteils et des doigts ; retard mental et surdité. Transmission récessive autosomique).
      • La prise d'hydantoïne peut entraîner une hypoplasie des phalanges distales.
      • Dans la trisomie 21, les mains peuvent être trapues (courte et larges).

Auteur Dr Aly ABBARA
6 Juillet, 2016

Contacter Dr Aly ABBARA
  Paris / France