Brachydactylie, قِصر الأصابع - تثلث الصبغي 21

Brachydactylie, قِصر الأصابع - تثلث الصبغي 21


Images échographiques en 2D et en 3D montrant l'aspect ultra-sonre d'une main crispée avec chevauchement des doigts des mains : l'index recouvre le majeur et l'auriculaire recouvre l'annulaire.

Ce Signe est retrouvé dans 50 % des cas de trisomie 18.

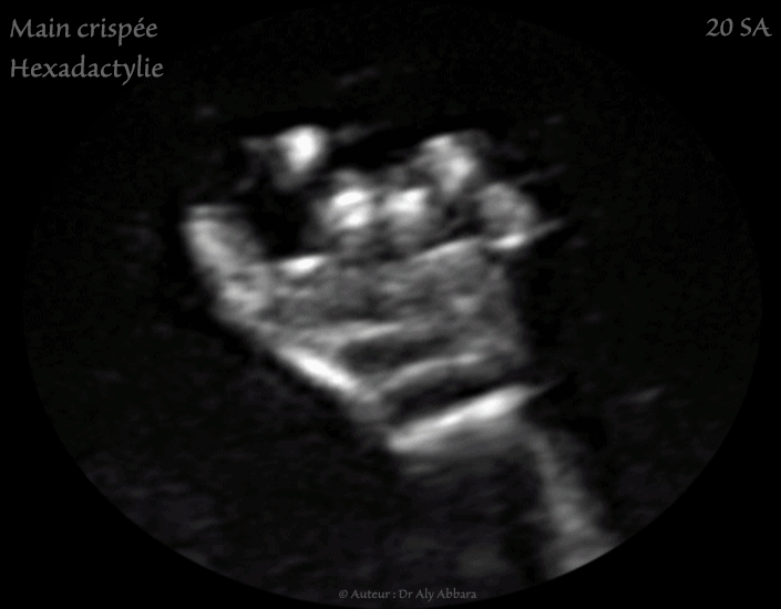
L'hexadactylie est la deuxième malformation de la main identifiable sur ces images échographiques.

Par ailleurs, d'autres malformations ont été découvertes : omphalocèle, estomac non vu, large communication interventriculaire (CIV), micro-rétrognathisme, profil plat, agénésie du corps calleux, agénésie du vermis, placenta kystique, artère ombilicale unique, kyste du cordon ombilical et enfin, un retard sévère de la croissance in-utero (RCIU).

Auteur Dr Aly ABBARA
5 Mars, 2017

Contacter Dr Aly ABBARA
  Paris / France