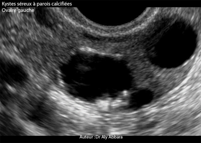
Ovaire gauche porteur de deux petits kystes séreux

L'ovaire gauche : Petits kystes séreux bénins de (18 x 16 x 15 mm et 16 x 15 x 15 mm) à
parois fibreuses et calcifiées
Echographie : les parois kystiques sont à certains endroits granuleuses et hyper-échogènes

  • L'examen anatomopathologique :

    • kystes bordés d'une couche unique de cellules cylindriques ou cubiques, voire aplaties, endothélioformes. Ces cellules sont tout à fait régulières, il n'y a pas de pseudostratification nucléaire, pas d'atypie ni mitose.
    • Ce revêtement borde une paroi fibreuse renfermant à certains endroits des calcifications.
      Il a été aussi observés des petits kystes d'inclusion renfermant des calcifications.


  • Dosage des marqueurs tumoraux :
    • Antigène carcino-embryonnaire (ACE) : 5 µg/l (N < 5).
    • Alfa fœtoprotéine (AFP) : 1,5 µg/l (N < 13,4).
    • CA 19:9 : 52 UI ml (N < 37).
    • CA 125 : 9 UI/ml (N < 35).

Atlas d'échographie
www.aly-abbara.com
MAJ : 6 Décembre, 2020
Paris / France