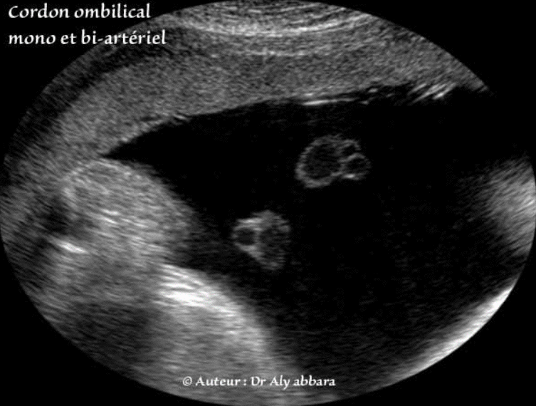
Cordon ombilical mono-artériel et bi-artériel

Cordon ombilical à artère unique et ayant une composante pré placentaire bi-artéielle
(Grossesse de 36 SA).

  • Série d'images échographiques montrant un cordon ombilical mono-artériel, mais la particularité de ce cordon, c'est qu'à environ 8 cm avant sa jonction avec le placenta, son artère unique se divise en deux d'où cette disparité échographique, car sur certaines coupes, il est mono-artériel, et sur d'autres il est bi-artériel.

  • Voir : cordon ombilical bi-artériel et cordon ombilical mono-artériel.

Auteur : Dr Aly Abbara
Mise à jour : le 3 Décembre, 2020

www.aly-abbara.com
Paris / France