
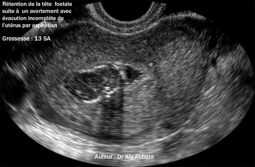
Rétention du pôle céphalique foetal suite à un avortement à 13 SA avec l'évacuation incomplète, par aspiration, des produits de la grossesse contenus dans la cavité de l'utérus. (Le pôle céphalique retenue dans la cavité utérine mesure 26 x 24 x 16 mm de dimensions) |
||||||
Mise à jour : le 14 Novembre, 2020 www.avicenne.info www.mille-et-une-nuits.com Paris / France |
||||||