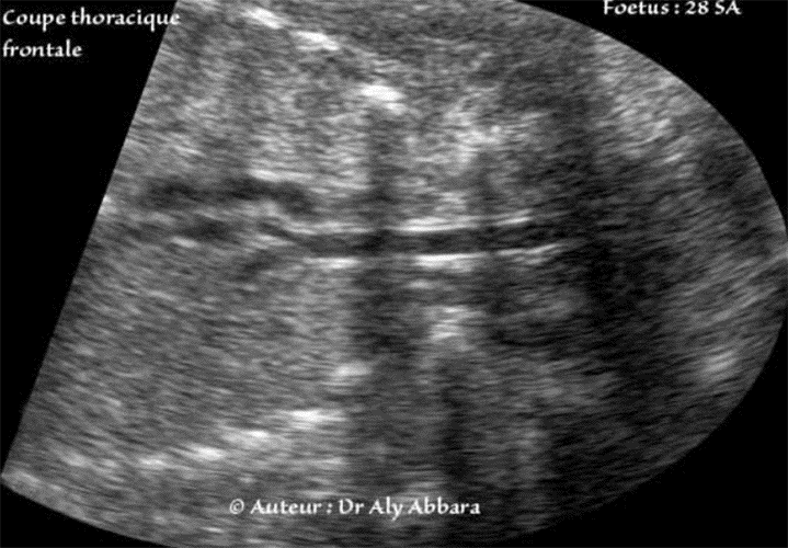
Trachée - Anatomie échographique


La trachée et les deux bronches
Coupe frontale du haut du thorax et du cou
(Fœtus âgé de 28 SA).

  • Coupes échographiques thoraciques frontales (coronales) centrées sur la partie supérieure et postérieure du thorax ; elles permettent la mise en évidence la trachée occupant le centre du cou et du médiastin, de son origine au niveau cervical, jusqu'à sa division (bifurcation) en deux bronches (droite et gauche) près du bord gauche de la crosse de l'aorte.

  • La trachée est identifiable sur ces coupes grâce à son diamètre non négligeable, son contenu anéchogène, et sa paroi à dédoublement échogène.

  • La dernière image montre une partie de ces mêmes données, mais sur un cliché de radiographie (de face) chez une jeune adolescente.

Auteur : Dr Aly Abbara
Mise à jour : le 12 Décembre, 2020

www.aly-abbara.com
Paris / France