Vagin de femme adulte - Rapports anatomiques - Echographie


Vagin : ses rapports anatomiques avec les organes avoisinants
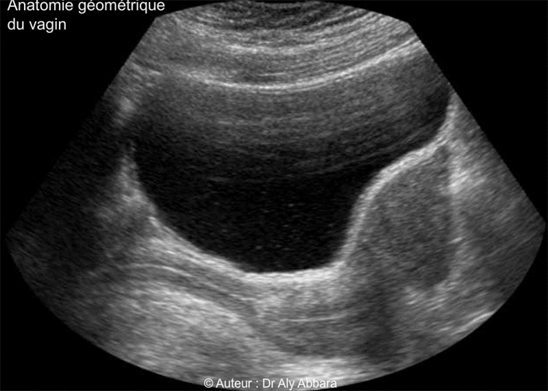
(Coupe échographique sagittale médiane du pelvis - vessie pleine).

  • Anatomiquement :
    Le vagin est situé dans la cavité pelvienne, entre la vessie et l'urètre en avant et le rectum en arrière ; il se fixe en haut sur le col utérin (عنق الرحم) qui fait saillie dans sa cavité mais les parois vaginales restent séparées du col utérin par un cul-de-sac (رتج) annulaire (ou fornix vaginal) divisé en quatre segments (deux culs-de-sacs latéraux, droit et gauche; un cul-de-sac antérieur et un cul-de-sac postérieur).

  • Le vagin n'est pas un tube ni un canal ni une cavité ouverte en permanence, car ses deux parois, antérieure et postérieure sont appliquées l'une contre l'autre, lui donnant un aspect aplati, mais ces parois peuvent s'écarter pour permettre l'introduction du sexe de l'homme, un tampon, un doigt, un instrument médical (spéculum, écarteur vaginal...) ou lors du passage du fœtus au cours de l'accouchement. Donc le vagin est un organe extensible, capable d'épouser la forme de l'organe ou l'objet qu'il contient.

  • Morphologiquement le vagin est plus étroit au niveau de son tiers inférieur, près de la vulve, puis il s'élargit au niveau de son tiers moyen et surtout au tiers supérieur, cette étroitesse relative dans la portion vaginale située près de son entrée vulvaire est due à la présence des fuseaux musculaires des muscles releveurs de l'anus qui encerclent cette partie du vagin en arrière et bilatéralement. Cet encerclement musculaire donne au vagin une forme coudée, donc en position allongée, sur un plan sagittal médian, la partie basse du vagin est oblique (de l'arrière en bas vers l'avant en haut), la partie haute du vagin se dirige vers l'arrière. L'angle formé par les deux axes du vagin est un angle obtus, ouvert vers le bas (en position allongée) et sa valeur est égale à environ à 140 degrés.
    L'orifice externe du col utérin est posé sur la paroi postérieure du fond du vagin car l'axe du col est presque vertical sur la paroi vaginale postérieure.

  • Chez la femme adulte, en période d'activité génitale, la longueur moyenne du vagin (de son orifice externe, au fond du vestibule vulvaire, jusqu'au col utérin) est de 8 cm ; donc le vagin n'est pas plus long que le majeur (le troisième doigt de la main d'un adulte), mais cette longueur varie de 4 à 14 cm.

  • La paroi vaginale a une épaisseur de 3 à 4 mm en moyenne, elle est solide et très extensible. Cette paroi est formée de trois tuniques (une tunique externe appelée le fascia du vagin ; une tunique moyenne musculaire et une tunique superficielle, c'est la muqueuse vaginale qui est dépourvue des glandes sécrétoires).

  • Chez la fille et la femme vierge (عذراء), au niveau de l'orifice qui permet l'accès à la cavité vaginale à partir de la vulve (c'est-à-dire l'entrée du vagin ou l'orifice externe du vagin) il existe un repli de la muqueuse appelé l'hymen (غشاء البكارة) qui sépare la cavité vaginale du vestibule vulvaire.
    • Une femme vierge : une femme qui n'a jamais eu de rapports sexuels. Qui possède encore l'hymen. Synonyme : pucelle.

  • Les deux tiers supérieurs du vagin (la partie profonde) sont pauvres en terminaisons nerveuses, donc moins sensibles que son entrée et son tiers inférieur (parties sensibles à la friction).

    Les sexologues décrivent certains points vaginaux qui, sensibilisés, stimulés, permettent d'atteindre l'orgasme :
    • Le plus connu est le point G (décrit pour la première fois par Gräfenberg) ; il est situé à environ 4 cm de l'entrée du vagin, sur la paroi antérieure, il s'agit d'une zone un peu rugueuse se trouvant anatomiquement derrière le trigone de vessie, donc, chez certaines femmes, la stimulation de ce point provoque au départ l'envie d'uriner. Il existe des procédés permettant de rendre cette zone plus éminente dans le vagin (par l'injection de certains produits pharmaceutiques à absorption très lente) et donc plus facile à stimuler lors des relations sexuelles.
    • Les autres points vaginaux à sensibilité sexuelle sont :
      • Le point A (Antérieur), qui se trouve à quelques centimètres au dessus du point G, également sur la paroi antérieure du vagin.
      • Le point P (Postérieur), sur la paroi postérieure du vagin, à mi-distance entre l'entrée du vagin et le col utérin.
      • Le point C qui se trouve dans le cul-de-sac postérieur du vagin.


Auteur : Dr Aly Abbara
Mise à jour : le 13 Décembre, 2020

aly-abbara.com
gynechologie.com
gynechographie.com
gynecometrie.com
Paris / France