
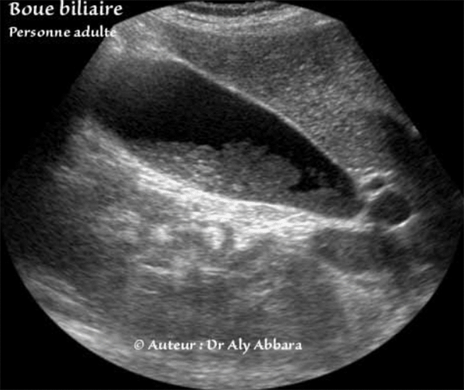
Vésicule biliaire contenant de la boue biliaire (Femme de 33 ans : quatrième jour du post-partum). La vésicule biliaire en coupe longitudinale et transversale. On remarque l'absence d'atténuation distale acoustique (cône d'ombre) derrière cette formation nitra-vésiculaire. A comparer à l'aspect de la boue biliaire chez un fœtus |
||||||
|
||||||
Mise à jour : le 6 Décembre, 2020 Paris / France |
||||||