Grossesse extra-utérine tubaire gauche caractérisée par le faible de hCG et évoluant vers une énorme hématosalpinx malgré le traitement médical par méthotrexate


  • Images échographiques montrant une grossesse extra-utérine tubaire gauche caractérisée par des taux très bas et stagnants de β-hCG plasmatique (entre 38 et 66 UI/litre), et évoluant rapidement vers la formation d'un volumineux hématosalpinx en pré-rupture malgré la mise en route d'un traitement médical par méthotrexate.

    Ce cas comme d'autres, montre qu'une grossesse extra-utérine, même avec des valeurs très basses du dosage de β-hCG plasmatique, constitue une menace pour la vie de la patiente, d'où l'intérêt d'être toujours vigilant devant toute grossesse extra-utérine, et cela jusqu'à la négativation du dosage de β-hCG plasmatique et la disparition totale des symptômes et signes cliniques et d'imagerie.

  • Il s'agit d'une patiente âgée de 31, deuxième geste deuxième pare, ayant dans ses antécédents deux accouchements par césarienne ; sans contraception actuellement.

  • A (7 SA) : aucun symptôme particulier à part le retard des règles ; l'examen clinique est normal et l'échographie ne montre pas de signes de grossesse évolutive intra-utérine, avec annexes utérines normales, et surtout pas de masse latéro-utérine pathologique identifiable.
    Le dosage de β-hCG plasmatique était positif (51 UI/L).

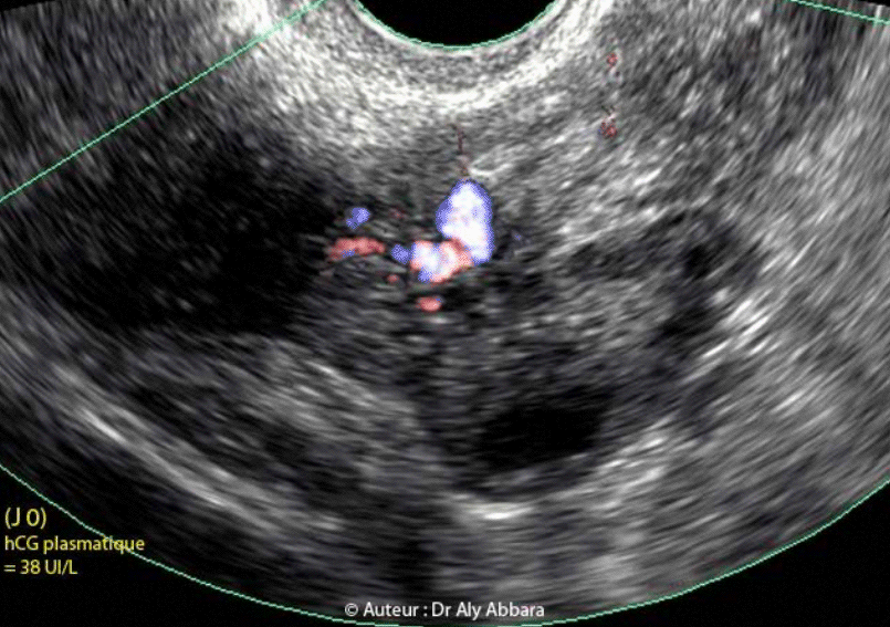
  • A (7 SA et 4 jours) : légère métrorragie ; discrète douleur spontanée et intermittente, pelvienne latéralisée à gauche ; examen clinique normal ; l'échographie montre une image latéro-ovarienne gauche mesurant (7 x 7 x 8 mm) de diamètre faisant évoquer, par son aspect vésiculaire entouré par une couronne échogène, le diagnostic de sac gestationnel ectopique.
    Ce jour, le dosage de β-hCG plasmatique était égal à (38 UI/L).

  • A (8 SA et 5 jours) : après une semaine de métrorragie intermittente et de légère abondance, associée inconstamment à une légère douleur pelvienne latéralisée à gauche, un nouveau examen fut réalisé : légère douleur à la mise en tension du ligament large gauche ; à l'échographie, l'utérus était d'aspect non gravide, avec endomètre de 6 mm d'épaisseur ; l'image latéro-ovarienne gauche était dédoublée de dimensions (16 x 14 x 12 mm) avec petite lame d'épanchement occupant le cul-de-sac postérieur.
    Le dosage de β-hCG plasmatique était égale à (66 UI/L).
    Devant l'évolution défavorable (la douleur spontanée et provoquée ; le dédoublement de la taille du sac gestationnel ectopique), un traitement médical de la grossesse extra-utérine a été administré : 50 mg de méthotrexate, puis 3 comprimés de mifépristone (soit 600 mg).

  • A (9 SA) : devant l'accentuation des phénomènes douloureux pelviens latéralisés à gauche, un contrôle échographique a été effectué, elle montre le remplacement de l'image du sac gestationnel ectopique vue il y a 48 heures par une masse hétéroéchogène de (52 x 44 x 37 mm) évoquant le diagnostic de volumineux hématosalpinx associé cette fois à un épanchement péritonéal localisé exclusivement dans le petit pelvis.
    Le dosage de β-hCG plasmatique était égal à (48 UI/L).

    L'image suivante montre l'aspect cœlioscopique de cet hématosalpinx en pré-rupture :
             Grossesse extra-utérine tubaire gauche caractérisée par le faible de hCG et évoluant vers une énorme hématosalpinx malgré le traitement médical par méthotrexate - Images cliniques coelioscopiques

      Auteur : Dr Aly Abbara
Mise à jour : le 29 Novembre, 2020
 

aly-abbara.com
Paris / France