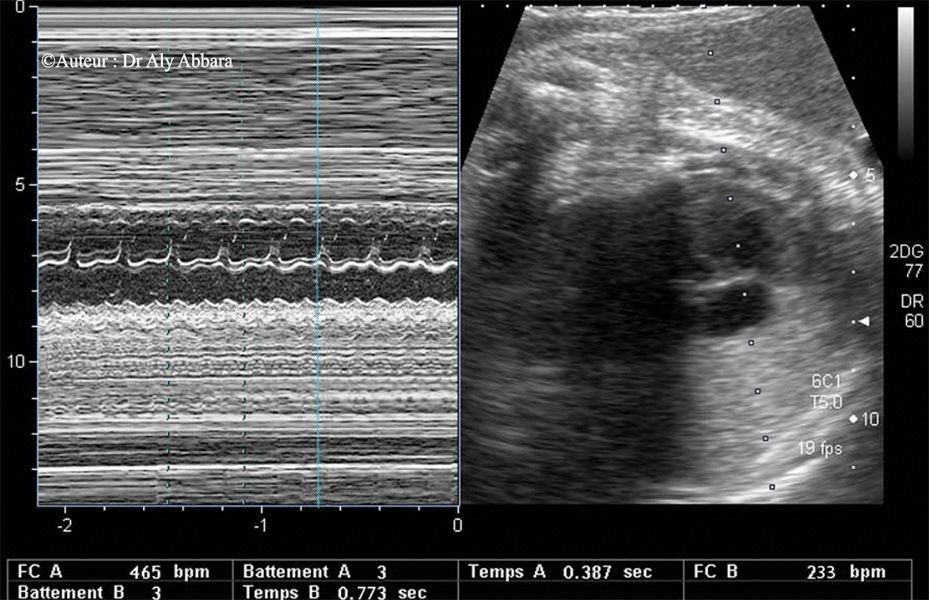
Mode-M
Flutter auriculo-ventriculaire

Analyse du spectre mod-M
Flutter auriculo-ventriculaire - détails


            
Les tachyarythmies fœtales  

  • Définitions :
    • Fréquence cardiaque fœtale normale :
      • Fréquence située entre 100 et 180 bpm.

    • Bradycardie fœtale :
      • Fréquence cardiaque fœtale inférieure à 100 bpm.

    • Tachycardie fœtale :
    • Contraction auriculaire prématurée (extrasystole auriculaire) :
      • contraction auriculaire non conduite au ventricule.

    • Tachyarythmie (tachyarrhythmia) fœtale (classification) :
      • Tachycardie sinusale :
        • Elle se caractérise par une tachycardie fœtale souvent situé entre 180 - 200 bpm.
        • Le rapport "fréquence auriculaire/fréquence ventriculaire" ou A:V = 1:1, donc pas de bloc auriculo-ventriculaire.
        • Elle se caractérise par une variabilité du rythme cardiaque de l'ordre de 5 à 15 bpm (comparée à la tachycardie supraventriculaire, où cette variabilité est absente).
        • Il s'agit d'une réponse du cœur fœtal à des facteurs exogènes et à des situations pathologiques maternelles : fièvre ; infection ; hypoxie ; thyrotoxicose ; médicaments (béta-mimétiques)...

      • Tachycardie jonctionnelle réciproque permanente :
        • Tachycardie caractérisée par une fréquence cardiaque d'environ 200 bpm.
        • Le rapport "fréquence auriculaire/fréquence ventriculaire" ou A:V = 1:1, donc pas de bloc auriculo-ventriculaire.
        • Le foyer d'impulsion se trouve au niveau de la jonction auriculo-ventriculaire; l'impulsion suit une voie spécifique vers l'oreillette et vers le ventricule.
        • Il s'agit d'une arythmie rare et difficile à traiter.

      • Tachycardie supraventriculaire (TSV) :
        • La plus fréquente tachyarythmie fœtale.
        • Fréquence cardiaque supérieure à 200 battements par minute (bpm) ; elle varie de 210 à 300 bpm (ou de 180 à 300 bpm).
        • Arythmie cardiaque survenant souvent de façon intermittente, paroxystique avec des périodes de rythme cardiaque normal, mais elle peut être incessante.
        • Elle débute brutalement, suite à une contraction auriculaire prématurée (extrasystole auriculaire) à l'origine d'une impulsion électrique prenant une voie ré-entrante. La tachycardie supraventriculaire se termine de façon brutale par une extrasystole auriculaire.
        • Le rapport "fréquence auriculaire/fréquence ventriculaire" ou A:V = 1:1, donc pas de bloc auriculo-ventriculaire.
        • Il s'agit d'une tachycardie parfaitement régulière, donc sans variabilité comparée à la tachycardie sinusale.
        • Moins 5 % des fœtus présentant des contractions prématurées auriculaires (extrasystoles auriculaires) développent une tachycardie supraventriculaire.
        • 5 % des cardiopathies congénitales se compliquent par une tachycardie supraventriculaire.
        • Elle peut se compliquer d'un anasarque foeto-placentaire (épanchement péricardique, ascite, spléno-hépatomégalie, œdème cutané, épaississement du placenta et hydramnios) qui représente une urgence médicale.

      • Flutter auriculaire (atrial flutter) et le flutter ventriculaire :
        • Flutter : terme anglais signifiant "tremblement" utilisé par Mac William en 1887, puis par Lewis en 1910. Ce terme, quand il est utilisé seul, désigne le flutter auriculaire.
        • le flutter auriculaire :
          • Chez le fœtus, le flutter auriculaire se caractérise par une fréquence auriculaire supérieure à la fréquence ventriculaire.
          • La fréquence auriculaire varie de 300 à 600 bpm ; elle est régulière.
          • Le bloc auriculo-ventriculaire est variable :
            • Quand il s'agit d'un bloc auriculaire de type "2:1", la fréquence ventriculaire est régulier et égale à la moitié de la fréquence auriculaire.
            • Quand il s'agit d'un bloc auriculo-ventriculaire variable, il résulte une fréquence ventriculaire irrégulière de l'ordre de 150 à 250 bpm et un bloc auriculo-ventriculaire allant de 2:1 à 4:1.
          • Le flutter résulte de l'action des impulsions suivant un circuit électrique auriculaire ré-entrant
          • Le flutter s'associe à une cardiopathie congénitale dans près 20 % des cas.

        • Le flutter ventriculaire est une tachycardie ventriculaire à fréquence très élevée (supérieure à 250 bpm chez l'adulte), avec la succession régulière de complexe QRS élargis et crochetés, sans diastole électrique. Le flutter ventriculaire représente une forme de transition entre tachycardie et fibrillation ventriculaires.

      • Fibrillation auriculaire :
        • Le terme "fibrillation" désigne une succession très rapide et irrégulière de stimulus électriques aboutissant à la disparition de toute contraction coordonnée et efficace des fibres cardiaques auriculaires (fibrillation auriculaire) ou ventriculaires (fibrillation ventriculaire qui est équivalent d'un arrêt cardiaque).

        • Dans la fibrillation auriculaire fœtale, la fréquence auriculaire est supérieure à la fréquence ventriculaire.
        • La fréquence auriculaire varie de 300 à 600 bpm ; mais il s'agit d'une contractilité auriculaire anarchique et irrégulière contrairement à la contractilité auriculaire dans le flutter auriculaire qui est par définition, bien régulière.
        • La conduction auriculo-ventriculaire est variable, et aboutissant à un bloc auriculo-ventriculaire variable et par conséquence, une fréquence ventriculaire variable.

        • Il s'agit d'une tachyarythmie rare in-utero.

      • Les tachycardies auriculaires chaotiques :
        • Elles constituent une association de ces troubles de rythme auriculaire avec des phases de succession de tachycardie régulière, d'extrasystoles, de flutter et de fibrillation auriculaire.

      • Tachycardie ventriculaire :
        • La fréquence ventriculaire est supérieure à la fréquence auriculaire.
        • La fréquence ventriculaire est de l'ordre de 170 à 400 bpm.
        • Il s'agit d'une dissociation habituellement intermittente entre le ventricule et l'oreillette.
        • Quand les impulsions électriques naissant du ventricule suivent une voie rétrograde vers l'oreillette, le rapport "fréquence auriculaire/fréquence ventriculaire" ou "A:V " peut être 1:1, donc rythme ventriculaire et le rythme auriculaire sont égaux en fréquence d'où la difficulté, dans ce cette situation, de différencier la tachycardie ventriculaire de la tachycardie supraventriculaire.
        • Il s'agit d'une arythmie cardiaque rare chez le fœtus, elle s'associe à une ischémie/infarctus ventriculaire ; anévrysme ventriculaire ; stresse périnatal / hypoxie.
 
Auteur : Dr Aly Abbara
Mise à jour : le 29 Novembre, 2020

  • Références :
    • WOODWARD. KENNEDY. SOHAEY. Oh. Byrne. Puchalski. -EXPERTddx Obstetrics - AMIRSYS 2009. 5: 24.
    • Bernard Guérin du Masgenët, Yann Robert, Philippe Bourgeot, Philippe Coquel Echographie en pratique obstétricale - Masson 2009. p: 321-322.
    • CALLEN Peter W- Ultrasonography in obstetrics and Gynecology - 5e édition ; SAUNDERS ELSEVIER - 2008. p: 575-576.
    • WOODWARD, Kennedy, Sohaey. - Diagnostic Imaging Obstetrics - AMIRSYS 2005. 6:72-75
    • Eberhard Merz, MD. Ultrasound in Obstetric and Gynecology. Thieme-2005. p: 293.
    • L. Fermont. La cardiologie prénatale : Pourquoi ? Comment. Dans : Dominique Cabrol, Jean-Claude Pons, François Goffinet. Traité d'Obstétrique. Médecine-Sciences Flammarion- 2003. p:178.
    • J.-Y. GILLET, G.BOOG, - Echographie des malformations foetales - VIGOT - 1990.
    • Dictionnaire de Médecine Flammarion - Médecine-Sciences Flammarion 1991.

     Atlas d'échographie

www.aly-abbara.com
Paris / France