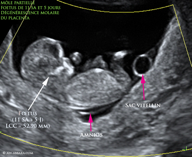
Grossesse molaire partielle - Foetus vivant de 11 SA et 5 jours, morphologiquement normale, présence d'une cavité amniotique et d'un sac vitellin, mais placenta en état d'une dégénréscence molaire polyvésiculaire
Grossesse molaire partielle (môle embryonnée) - Fœtus vivant de 11 SA et 5 jours, morphologiquement normale, présence d'une cavité amniotique et d'un sac vitellin, mais placenta en état d'une dégénérescence molaire polyvésiculaire
  • Images échographiques et macroscopiques d'une grossesse molaire de 11 SA
  • Môle partielle : Grossesse môlaiire : villosités choriales vésiculeuses
    • il s'agit le plus souvent d'une grossesse composée :
      • d'une formation placentaire normale
      • d'une cavité amniotique
      • de structures fœtales reconnaissables d'où le nom de môle embryonnée.

      • microscopiquement :
        • gonflement hydropique du chorion villositaire, aboutissant à la formation de citernes et de méandres, l'aspect festonné des contours villositaires avec formation de pseudo-kystes trophoblastiques intra-choriaux.

          La distinction formelle avec les môles complètes repose sur :
          • la coexistence de villosités choriales normales ;
          • la présence de structures fœtales ;
          • avec, éventuellement des vaisseaux villositaires comportant des érythroblastes d'origine fœtaux ;
          • le caractère discret et focal de l'hyperplasie trophoblastique.

    • Cytogénétiquement :
      • La môle partielle est habituellement triploïde ; elle survient suite à une dispermie ou de la fécondation d'un ovule normal (nucléé) par deux spermatozoïdes donnant ce différents types de caryotype :
        (69, XXY), (69, XXX) ou (69, XYY) ; parfois des trisomies des chromosomes 16, 2, 13 et 18, mais certaines môles partielle ont des caryotypes normaux.
      • Les fœtus triploïdes présentent des anomalies morphologiques multiples du système nerveux central, du cœur et du système circulatoire, de l'appareil urinaire, digestif avec souvent des retards de croissance in utero sévère.

    • Cliniquement :
      • Il s'agit le plus souvent d'un avortement ou une rétention ovulaire .
      • Lorsqu'il existe, le syndrome vasculo-rénal est plus tardif.
      • Le volume utérin est habituellement inférieur à la normal par rapport à l'âge de la grossesse ;
      • Des taux initiaux de hCG plus bas comparés à la môle complète ; ils sont suivis d'un retour plus rapide à la normale mais la surveillance du taux de hCG est nécessaire car le recours à la chimiothérapie n'est pas nul, il est de l'ordre de 2 %.
      • Apparemment pas de dégénérescence vers le choriocarcinome.

  • A différentier de la grossesse molaire complète.
 Auteur : Dr Aly Abbara
Mise à jour : le 19 Octobre, 2020
 
aly-abbara.com
Paris / France