![]() |
|||
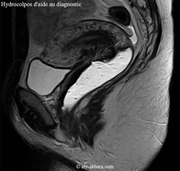
| Hydrocolpos d'aide au diagnostic | |||
| Coupe sagittale médiane du pelvis par "IRM" centrée sur un hydrocolopos créé artificiellement en injectant dans la cavité vaginale, un gel permettant la mise en évidence le vagin afin de faciliter l'interprétation des coupes anatomiques du petit pelvis. | |||
Auteur : Dr Aly Abbara 1 Décembre, 2020 |
|||
| Atlas d'échographie | Utérus | ||
| aly-abbara.com |
|||