Kyste dermoïde de l'ovaire contenant une dent - Images cliniques
Aspect macroscopique après kystectomie


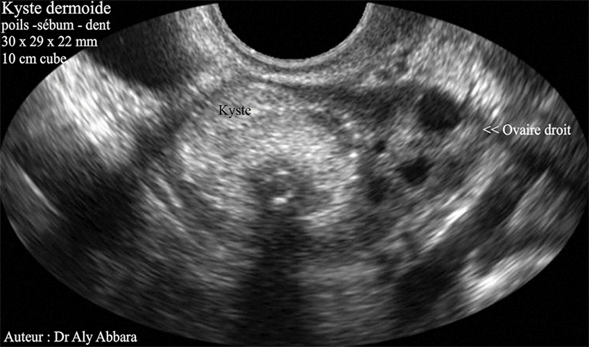
L'aspect échographique et l'aspect macroscopique d'un tératome bénin (kyste dermoïde) de l'ovaire droit mesurant (30 x 29 x 22 mm, soit 10 cm3) contenant outre des poils et du sébum, une dent (incisive parfaitement formée).

Auteur : Dr Aly Abbara
Mise à jour : le 1 Décembre, 2020

Gynécologie Obstétrique
Utérus


Site du Dr Aly Abbara