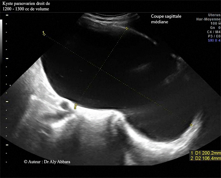
Kyste paraovarien de 1230 mm de volume - Images échographique et cliniques



Kyste para-ovarien droit (aspect échographie et macroscopique).

Il s'agit d'un kyste uniloculaire de 200 x 110 x 106 mm de dimensions (soit environ 1230 cm3 de volume), à paroi fine, sans végétations endophytiques et sans épanchement péritonéal.

L'examen anatomopathologique confirme sa nature : kyste vestigial bénin.
Ce type de kyste se développe aux dépens des reliquats des canaux de Wolff, et plus précisément du conduit déférent vestigial (canal de Malpighi-Gartner).

Cette tumeur kystique a été découverte fortuitement lors d'un examen clinique chez une patiente âgée de 53 ans, ménopausée depuis deux ans.

La laparotomie montre qu'il s'agit d'une tumeur kystique évoluant au sein du ligament large droit, avec des annexes utérines (ovaires et trompes) par ailleurs normales. Cette formation kystique était recouvert par les feuillets péritonéaux du ligament sauf son pôle externe droit qui était en contact avec les éléments anatomiques de la paroi latérale du pelvis. Pas de végétations exophytiques ni épanchement péritonéal.

Le contenu du kyste était formé de liquide clair transparent (eau de roche).

Tous les dosages des marqueurs tumoraux plasmatiques étaient normaux (CA 125, CA 19:9, antigène carcino-embryonnaire, hCG et alpha fœtoprotéine).

Auteur : Dr Aly Abbara
MAJ : 1 Décembre, 2020
Gynécologie Obstétrique
Ovaire


Site du Dr Aly Abbara