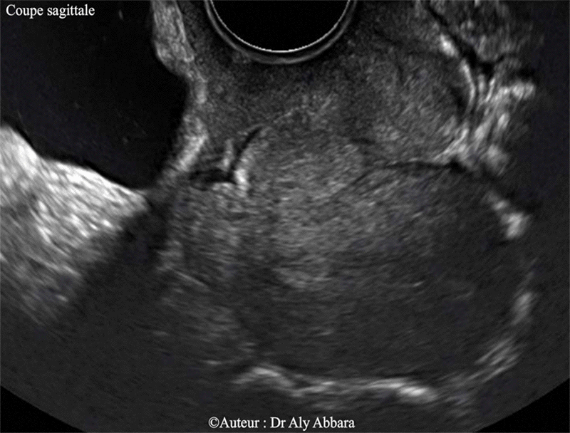
Utérus cicatriciel rétroversé rétrofléchi - Isthmocèle


Cicatrice d'une césarienne segmentaire transversale identifiable par l'échographie 2D. Il s'agit d'une cicatrice béante prenant, en coupe sagittale, l'aspect d'une zone anéchogène et profond, en forme d'une goutte d'eau (vessie pleine et selon la position de la coupe) ou d'un triangle (vessie vide) ; elle est situé dans la paroi antérieure de l'isthme utérin et communiquant avec la cavité utérine.

Depuis 1994, cette anomalie de la cicatrisation de l'hystérotomie de la césarienne segmentaire transversale fut appelée "Isthmocèle".

L'utérus est hyper-rétroversé, hyper-rétrofléchi ; cela explique la position du fond utérin qui se dérige vers le fond du pelvis.

En échographie 3D, mode "Triplan", cette zone béante peut être étudiée aussi transversalement et frontalement ; puis avec le mode "Omni view", la cicatrice peut être aussi analysée frontalement tout en étudiant la forme de la cavité utérine.

Consulter cet article sur l'aspect échographique de la cicatrice de la césarienne.

Auteur : Dr Aly Abbara
2 Décembre, 2020

Atlas d'échographie
Utérus


Site du Dr Aly Abbara