
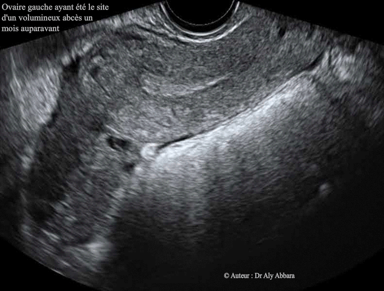
Image animée montrant l'aspect échographique d'un ovaire gauche qui fut, un mois auparavant, le site d'un volumineux abcès associé à une salpingite aiguë homolatérale. Cette infection génitale haute aiguë a nécessité un drainage chirurgical et une administration d'une triple antibiothérapie pendant trois semaines. |
||||||
| Histoire de maladie : Dans un contexte d'infection abdomino-pelvienne, sur des images échographiques, on met en évidence la présence d'une formation kystique intra-ovarienne gauche mesurant 74 x 56 x 71 mm (soit 155 cm3), uniloculaire, à contenu hypo-échogène avec un aspect de niveau faisant penser à la présence d'un contenu liquidien à deux niveaux de densité. Les structures ovariennes entourant cette formation ovarienne kystique paraissent épaissies, infiltrées et contenant des multiples petites formations kystiques satellites. Échographiquement, l'ovaire droit est normal, avec un volumineux hydrosalpinx droit. Cliniquement, on note la présence d'une masse palpable dans la région sous ombilicale, de 8 à 10 cm de diamètre, légèrement sensible, chez une patiente âgée de 28 ans, souffrant d'une douleur abdominale sous ombilicale, évoluant depuis une semaine, sans hyperthermie, mais biologiquement on note la présence d'une hyperleucocytose à 14 giga/l, et CRP à 186 mg/l et enfin, une anémie inflammatoire à 7 g/dl. Le scanner abdomino-pelvien confirme la présence de masse à cavité uniloculaire en position très haute, surplombant le fond utérin et au contact avec la paroi abdominale antérieure, dans la région qui se trouve au-dessous de l'ombilic. Au voisinage de l'ovaire gauche abcédé, on remarque la présence d'une autre formation oblongue, à paroi infiltrée, avec dans son centre, une collection liquidienne ; il s'agit de la trompe gauche inflammatoire avec petit pyosalpinx. Le diagnostic évoqué est celui d'une infection génitale haute gauche comportant un abcès ovarien et un pyosalpinx gauches. Le diagnostic définitif a été réalisé suite à la réalisation d'une laparotomie : volumineux ovaire gauche abcédé et collant fortement, par des adhérences, anciennes denses et fibreuses, à la paroi abdominale antérieure et aux anses grêles juxtaposées. La cavité de l'ovaire est suppurée, ainsi les multiples formations folliculaires satellites, intra-ovarienne. La trompe gauche est très inflammatoire à contenu suppuré (pyosalpinx). L'ovaire droit est normal. La trompe droite est caractérisée par la présence de multiples signes macroscopiques de salpingite ancienne (non aiguë) : obturation l'ostium tubaire externe ; un volumineux hydrosalpinx et multiples voiles adhérentiels. Le cul-de-sac postérieur est bloqué par de vieilles adhérences fibreuses. L'image présentée dans cette page, montre l'aspect de cet ovaire gauche un mois plus tard, où on note la disparition complète de la cavité abcédée intra-ovarienne gauche. |
||||||
Mise à jour : le 16 Novembre, 2020 Paris / France |
||||||