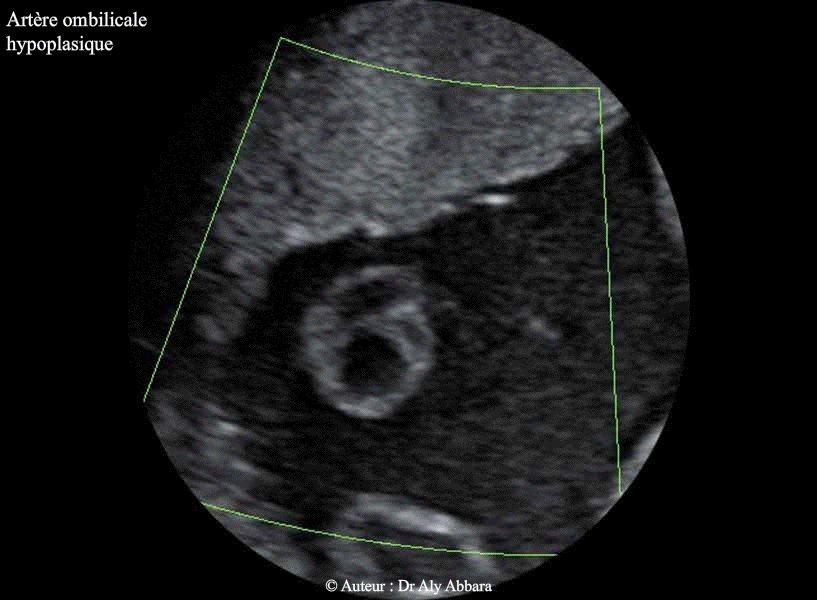
Cordon ombilical - Artère ombilicale hypoplasique


  • Images échographiques montrant une hyperplasie d'une des deux artères ombilicales identifiable sur la totalité de la longueur du cordon ombilical.

  • Il s'agit du cordon ombilical d'un fœtus de 34 SA d'âge in-utero, morphologiquement présentant une volumineuse omphalocèle contenant la totalité de son foie, sans aucune d'autre anomalie exceptée cette hypoplasie d'une artère ombilicale ; caryotype normal.

  • La fréquence de l'hypoplasie d'une des deux artères ombilicales est de l'ordre de 0,01% des naissances.
Auteur : Dr Aly Abbara
Mise à jour : le 18 Novembre, 2020

     Atlas d'échographie

www.aly-abbara.com
Paris / France