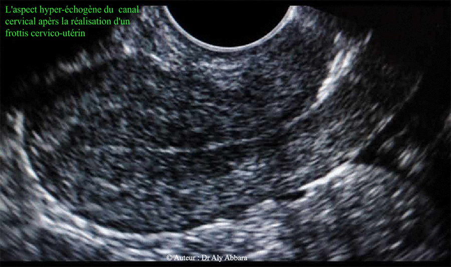
L'aspect hyper-échogène du canal cervical après la réalisation d'un frottis cervico-utérin par la rétention de particules d'air par la brosse


  • Images échographiques montrant l'aspect échographique du canal cervical après la réalisation d'un frottis cervico-utérin (FCU).

    Cette hyperéchogéncité manifeste est due à la présence de particules d'air déposées dans le canal cervical lors de l'introduction de la brosse ou la tige-coton afin d'effectuer le frottis endocervical.
Auteur : Dr Aly Abbara
Mise à jour : le 19 Novembre, 2020

     Atlas d'échographie

www.aly-abbara.com
Paris / France