Grossesse môlaire complète caractérisée par la présence d'un sac amniotique sans embryon et sans sac vitellin

Grossesse molaire complète
(môle hydatiforme - رحى عذارية أو حمل رحوي)
caractérisée par la présence d'un sac amniotique sans
embryon et sans sac vitellin

  • Images échographiques et macroscopiques d'une grossesse molaire de 11 SA
  • Il s'agit d'une grossesse molaire complète découverte fortuitement lors d'une consultation pour la prise en charge d'une grossesse débutante, sans aucune manifestation clinique en dehors du retard de règles de 6 semaines (= 8SA).

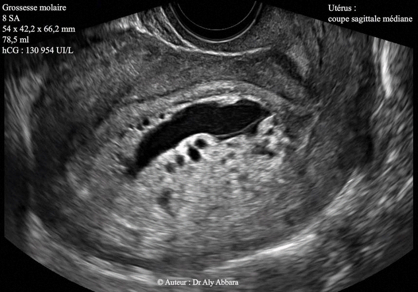
  • L'échographie par voie endovaginale montre une cavité utérine occupée par une structure tissulaire, hétéro-échogène, plutôt vésiculaire et sans aucun élément anatomique embryonnaire ou fœtal reconnaissable, mais le sac amniotique est présente.

    Le volume de cette môle hydatiforme a été évalué à 78,5 ml (54 x 42,2 x 66,2 mm de dimensions).
    Les ovaires sont normaux (sans formations kystiques lutéiniques).

  • Biologiquement, le taux de β-hCG plasmatique était très élevée, à 130 954 UI/ml.

  • A l'examen histologique :
    • Matériel d'aspiration refermant de caduque avec villosités n'apparaissant en grappe de raisin.

    • Il n'y a pas d'embryon visible.

    • Il a été observé de nombreux villosités choriales parfois d'assez grande taille avec une cavité centrale. Les contours sont tout à fait anomaux avec des aspects de villosités en "orteils". L'axe est mésenchymateux avec des images de caryorrhexie. On observe quelques capillaires sans érythroblaste dans les lumières. Il existe une hyperplasie trophoblastique n'apparaissant pas complète, mais avec atypies. On note également la présence d'une dystrophie bulleuse.

    • La caduque est assez bien conservée. On observe également quelques atypies dans le trophoblaste extra-villeux.

    • Aspect histologique évocateur d'une môle complète avec hyperplasie trophoblastique assez marquée.

 

 Auteur : Dr Aly Abbara
Mise à jour : le 19 Octobre, 2020
 

aly-abbara.com
Paris / France