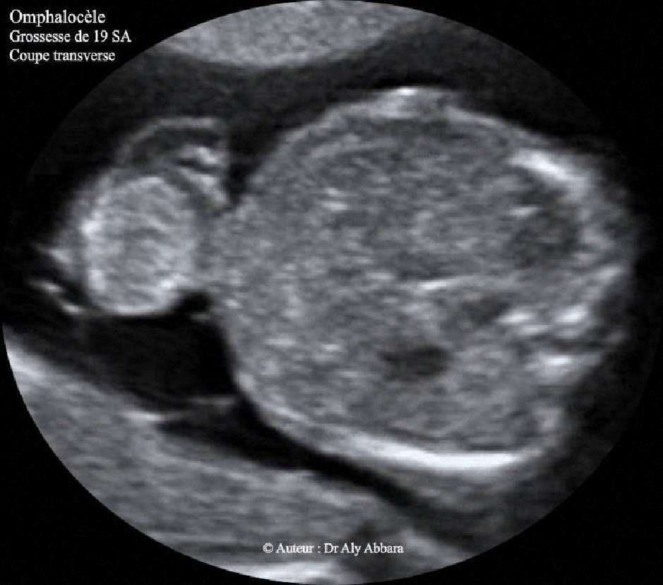
- Images échographiques montrant une grossesse de 19 SA caractérisée par la présence d'une volumineuse omphalocèle contenant une partie des anses grêles et une composante kystique uniloculaire.
Les autres anomalies fœtales associées à cette omphalocèle : un canal atrio-ventriculaire et une bradycardie constante à 80 - 60 bpm ; une fente labiale unilatérale, et enfin, un retard de croissance sévère et harmonieux.
Le caryotype fœtal ne montre pas d'anomalie chromosomique associée (46, XX).
- Consulter aussi :
|