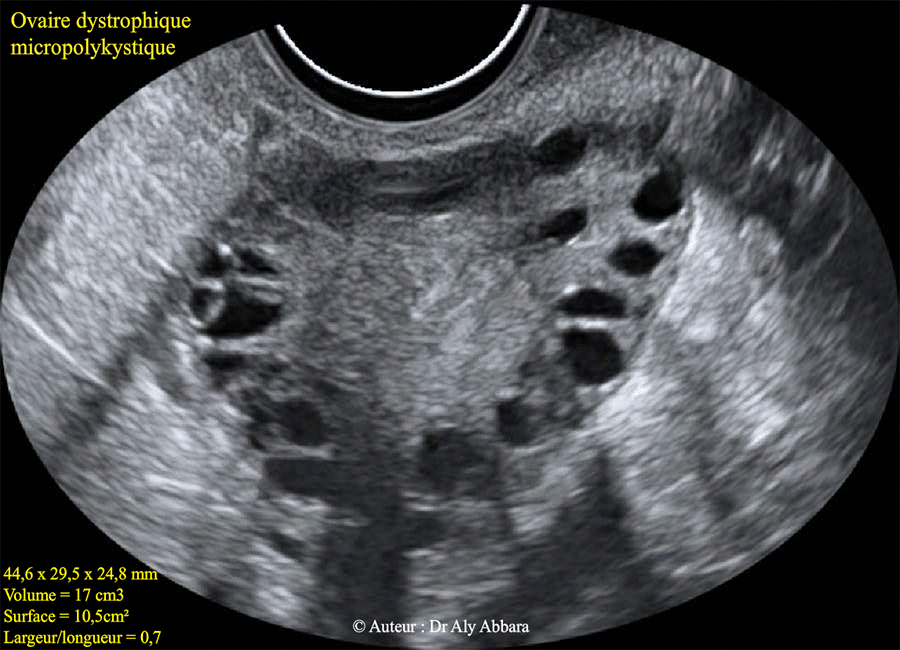
Ovaire dystrophique micropolykystique (OMPK)

Images échographiques d'un ovaire (gauche) dystrophique micropolykystique chez une femme âgée de 30 ans.
* Les caractéristiques échographiques de cette ovaire dystrophique :
- Dimensions : 44,6 x 29,8 x 24,8 mm
- Volume = 17 cm3
- Surface = 10,5 cm²
- index de sphéricité : rapport (largeur/longueur) = 0,7
- Nombre de follicule identifiables de 2 à 9 mm = 20
- Distribution périphérique des follicules
- Stroma central hypertrophique et hyperéchogène repoussant les follicules vers la périphérie.

  • Théoriquement, les caractéristiques échographiques d'un ovaire dystrophique sont :

  • Augmentation des dimensions des ovaires :
    • Grand axe de l'ovaire supérieur à 5 cm [8];
    • Augmentation de la surface ovarienne : la somme des deux surfaces ovariennes est supérieure à 12 cm² (un ovaire normal mesure 2 à 6 cm²)
    • Augmentation du volume ovarien : supérieur à 8 centimètres cube
    • Modification de l'index de sphéricité (largeur/longueur) : il est anormal quand il est supérieur à (0,7). Cette modification peut être constatée quand l'ovaire prend un aspect globuleux ou sphérique ; mais dans certains cas l'ovaire peut garder sa forme ovulaire par l'augmentation harmonieuse des trois dimensions (longueur, largeur et profondeur).

  • Hypertrophie du stroma ovarien :
    • Augmentation de la partie stromale centrale de l'ovaire ; la surface du stroma est pathologique lorsqu'elle est supérieure à 4 cm²
    • Hyperéchogénicité du stroma.

  • La présence d'un nombre important de microkystes folliculaires ovariens :
    • Sur les deux ovaires
    • 2 à 8 mm (en moyenne 5 mm)
    • Ces microkystes folliculaires prédominent à la périphérie de l'ovaire.
    • Leur nombre est supérieur à 10 par ovaire.
    • D'après : Jonard S et coll. : “Ultrasound examination of polycystic ovaries: is it worth counting the follicles?” Hum Reprod 2003 Mar;18(3):598-603 :
      • S Jonard de l’équipe de Dewailly de l’hôpital Jeanne de Flandre de Lille propose de modifier la définition du syndrome des ovaires polykystiques (SOPK) en y ajoutant la présence de plus de 11 follicules de 2 à 9 mm de diamètre (moyenne des deux ovaires).

  • Cet aspect échographique est discuté puisque il peut être retrouvé chez 22 % des femmes jeunes et chez 16 % des femmes ayant des cycles réguliers.

  • Selon la conférence de consensus de Rotterdam (2003), les critères échographiques du syndrome des ovaires polymicrokystiques sont :
    • plus de 12 follicules de 2 à 9 mm / ovaire ;
    • à distribution périphérique en raison de l’hypertrophie stromale ;
    • augmentation de la surface de l’ovaire : > 6 cm² / ovaire
      • Surface calculée selon la formule :
        • (longueur de l'ovaire) x (largeur de l'ovaire) x (0,8)
    • augmentation du volume des ovaires : > 11 cm3 pour les deux ovaires
      • volume calculé selon la formule :
        (longueur de l'ovaire) x (largeur de l'ovaire) x (profondeur de l'ovaire) x (0,523)
    • ovaires sphériques (rapport largeur/longueur > 0,7)

Auteur Dr Aly ABBARA
21 Novembre, 2020

  Paris / France