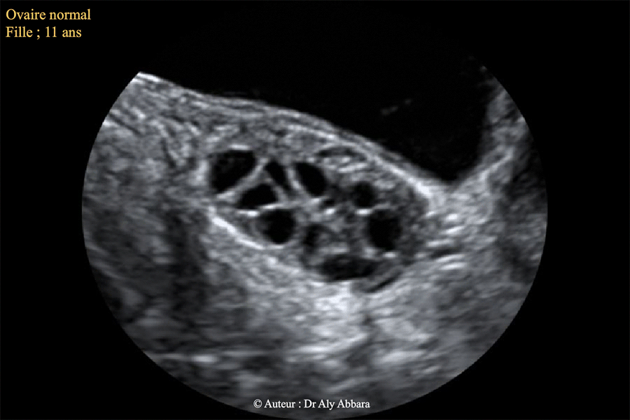
L'aspect échographique d'un ovaire normal chez une fille de 11 ans

Images échographiques d'un ovaire (gauche) normal chez une fille de 11 ans (non encore réglée - pas de ménarche).

Il s'agit d'un ovaire mesurant 35 x 22 x 20 mm de diamètre, soit 8 cm3 de volume, contenant au sein de son stroma de très nombreux follicules antraux (de 2 à 5 mm de diamètre).

A signaler que cette image a été obtenue dans un contexte de torsion nécrosante des annexes utérines controlatérales (droites)

Auteur Dr Aly ABBARA
21 Novembre, 2020

  Paris / France