Grossesse môlaire (môle complète) - Aspect échographique - الحمل العداري أو الرحى العدارية

Grossesse môlaire (môle complète) - Aspect échographique - الحمل العداري أو الرحى العدارية

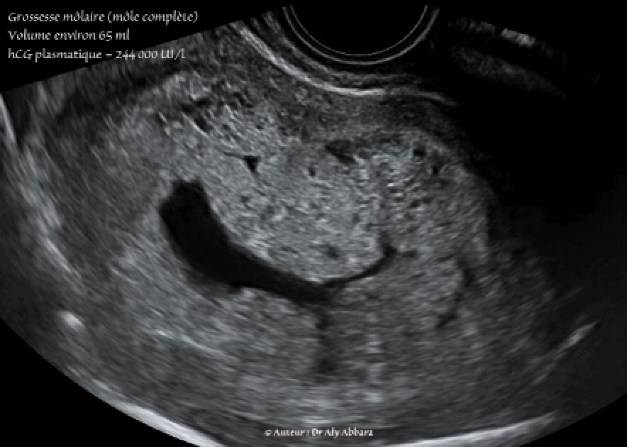
Images échographiques animées montrant l'aspect ultrasonique d'une grossesse môlaire de type môle complète :

I- Une cavité utérine occupée par une structure tissulaire, hétéro-échogène, plutôt vésiculaire .

II- Aucun élément anatomique embryonnaire ou fœtal reconnaissable

III- Pas de vésicule vitelline

IV- Pas de cavité amniotique, par contre la cavité individualisable sur certaines de ces images correspondent à la persistance de la cavité cœlomique (cœlome externe).

Le taux de β-hCG plasmatique le jour de la réalisation de ces images était égal à 244 000 UI/l.

L'examen anatomo-pathologique après évacuation : le contenu de l'utérus est composé de villosités choriales dont certaines sont assez grandes, hydropiques ; d'autres sont plus petites, elles comportent des contours en " orteil " ou en " chou-fleure " ; leur axe est mésenchymateux, avec aspects de caryorexie.

Ces villosités dégénérées, sont vascularisées, mais il n'y a pas d'érythroblaste dans les lumières vasculaires.

Il existe une hyperplasie trophoblastique parfois circonférentielle avec atypies. Il existe également des atypies du trophoblaste extra villeux.

La caduque est remaniée par des plages nécrotico-hémorragiques.

La conclusion : aspect histologique évocateur d'une môle complète.

مجموعة صور متحركة تبين المظاهر المختلفة التصويرية ما فوق الصوتية للحمل العداري (أو الرحى العدارية الكاملة) : يمكن ملاحظة غياب كل المكونات المضغية أو الجنينية في هذا النوع من الحمل بينما المكونات المشيمة فقد تحولت إلى زغابات متوسعة حويصلية الشكل عيانياً ومجهرياَ مع فرطٍ في التصنع للخلايا الكوريونية المغذية وعيوبٍ في نوياتها.


Auteur Dr Aly ABBARA
13 Février, 2016

Contacter Dr Aly ABBARA
  Paris / France