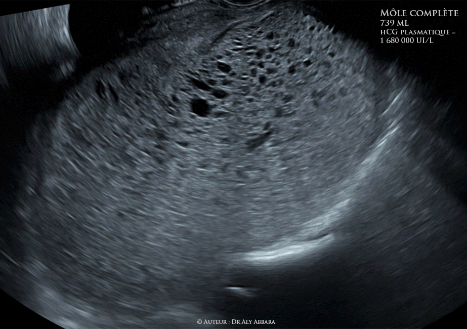
Grossesse môlaire (môle complète) de 739 ml de volume - Aspect échographique et clinique - الحمل العداري أو الرحى العدارية

Images échographiques animées montrant l'aspect ultrasonique d'une grossesse môlaire de type môle complète :

I- Une cavité utérine occupée par une structure tissulaire, hétéroéchogène, plutôt vésiculaire d'environ 739 ml de volume, soit 142.5 x 93.5 x 105.9 mm de diamètre.

II- Aucun élément anatomique embryonnaire ou fœtal reconnaissable.

III- Pas de vésicule vitelline.

IV- Pas de cavité amniotique.

Le taux de β-hCG plasmatique le jour de la réalisation de ces images était égal à 1 680 000 UI/l.

L'examen anatomo-pathologique après évacuation : le contenu de l'utérus est composé de matériel hémorragique renfermant des villosités placentaires, souvent œdémateuses, voire, hydropiques, d'autres sont contournées. Elles sont revêtues par un trophoblaste hyperplasique renfermant des atypies avec des aspects de dystrophie bulleuse. L'axe villositaire renferme parfois une vascularisation, mais sans érythroblastes identifiables. Des nappes hémorragiques et des villosités momifiées sont présentes.
Il n'y a pas ni de tissus embryonnaires, ni de caduque.

La conclusion : aspects cliniques et histologiques évocateurs d'une môle complète.


Auteur Dr Aly ABBARA
22 Juin, 2019

Contacter Dr Aly ABBARA
  Paris / France