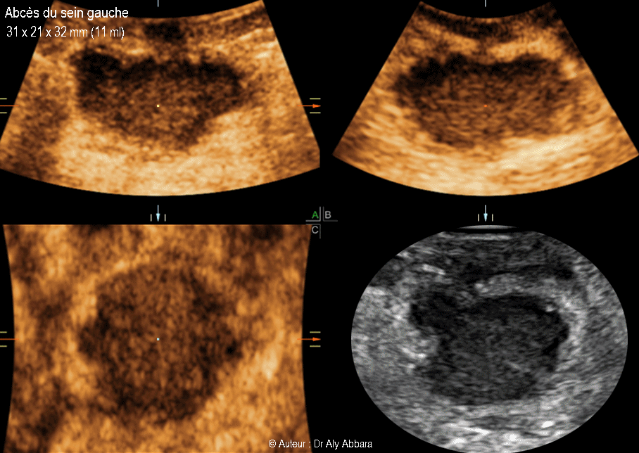
Abcès du sein gauche - خُراج الثدي الأيسر


Image animée montrant l'aspect échographique d'un abcès du sein
de (31 x21 x 32 mm de diamètre, soit 11 ml de volume) chez une femme
âgée de 30 ans allaitant son nourrisson depuis deux mois.
خُرَاج الثدي


Ces images échographiques montre que cet abcès est composé :
  • D'une néo-cavité formée par l'infection aiguë et limitée par une coque hyperéchogène d'épaisseur irrégulière et festonnée ; elle est constituée de tissu conjonctif fibreux inflammatoire réactionnel.
    La formation de la coque autour de l'abcès permet de circoncire l'infection et de bien limiter son extension et diffusion vers les tissus avoisinant.

  • Le contenu de l'abcès parait hypoéchogène, il s'agit du pus :

    • C'est un liquide d'épaisseur variable, souvent visqueux, de couleur allant du jaunâtre au verdâtre ; il est composé d'exsudat tissulaire, du sérum, des cellules du tissu atteint et suppuré, des leucocytes polynucléaires, des hématies, des micro-organisme, et surtout des débris des cellules et des micro-organismes morts.
      Le pus résulte de l'altération et la nécrose des tissus par les enzymes protéolytiques produites par les leucocytes.

      Le Pus peut contenir, ou pas des micro-organismes (bactéries) qui sont à l'origine de l'inflammation, donc sa mise en culture peut être négative.

      La couleur et l'odeur du pus dépendent du germe en cause.

    • Chez cette femme qui allaite, le pus est mélangé également au lait maternel.

  • Définitions

    • Abcès (abscess) - خُرَاج - خُرَاجَة :
      Amas de pus collecté dans une cavité néoformée aux dépens des tissus voisins. Donc dans cette définition, la formation la cavité de l'abcès est causée par l'infection en cours.
      L'abcès doit être différentié de l'empyème, où l'amas de pus se forme à l'intérieur d'une cavité naturelle (plèvre, espace sous-phrénique...) ou une cavité d'une formation préalable à l'infection.

    • Abcès chaud - خُرَاج حار :
      Abcès de constitution rapide accompagné des signes d'inflammation aiguë : douleur, rougeur (congestion, érythème), chaleur locale et tuméfaction.

    • Abcès froid - خُرَاج بارد :
      Abcès de constitution lente, sans signes d'inflammation.

    • Empyème (empyema) - دُبَيْلة :
      Amas de pus à l'intérieur d'une cavité naturelle (dans le plèvre = pleurésie purulente ; espace sous-phrénique ; péritoine ; sinus...) ou une cavité d'une formation préalable à l'infection.

    • Furoncle (ou folliculite profonde et nécrosante) (furuncle) - دُمَّل :
      " Inflammation d'un follicule pilo-sébacé due au staphylocoque doré, se présentant sous forme d'un bourbillon jaunâtre entouré d'un halo rouge et situé sur une base tuméfiée "
      (Dictionnaire français de médecine et de biologie (ALEXANDRE MANUILA, LUDMILLA MANUILA, M. NICOLE, H. LAMBERT) tome 2 1971).

    • Phlegmon - فَلْغَمون :
      Inflammation aiguë du tissu cellulaire sous-cutané ou profond, circonscrite ou diffuse, bien différenciée, mais non collecté, avec nécrose secondaire des tissus atteints.

    • Pustule (pustula) - بَثْرَة :
      Petite lésion cutanée (petit bouton), caractérisée par un soulèvement épidermique contenant du pus.

  • Références :
    Dictionnaire de Médecine Flammarion (4° édition 1991)
    Le Grand Robert de la langue française.

Auteur : Dr Aly Abbara
Mise à jour : le 12 Décembre, 2020

aly-abbara.com
Paris / France