Cloison vaginale transverse

Cloison vaginale transverse

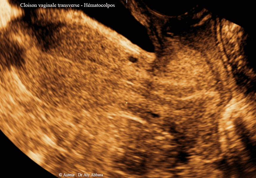
  • Images échographiques et cliniques animées mettant en évidence la présence d'une cloison vaginale transversale située au niveau de la jonction du tiers inférieur avec le tiers moyen du vagin.

  • Cette cloison vaginale est de 3 à 4 mm d'épaisseur ; elle divise transversalement le vagin en deux compartiments :

    • compartiment inférieur, de 3 à 4 cm de long ;

    • compartiment supérieur dans lequel s'ébauche l'orifice externe du col utérin. Chez cette patient, ce compartiment est le site d'un hématocolpos par l'accumulation partielle du sang menstruel.

  • La cloison vaginale transversale est quasi complète à part la présence d'un pertuis millimétrique dans son centre permettant une évacuation très partielle du sang menstruel vers le vagin bas.

  • Par ailleurs, l'utérus, les annexes utérines, l'hymen, les organes génitaux externes et l'arbre urinaire sont sans anomalie morphologique particulière.

  • La patiente est une jeune adolescente de 14 ans se plaignant de dysménorrhée et d'une dyspareunie.

  • Embryologie :

    Les extrémités distales des conduits paramésonéphriques (canaux de Müller) adhèrent l'une à l'autre juste avant de rejoindre la paroi postérieure de l'urètre pelvien qui présente à ce point de jonction (entre les orifice d'abouchement des canaux de Wolff ou les conduits mésonéphriques) un petit épaississement appelé le tubercule sinusal (tubercule de Müller). Ces portions des canaux de Müller fusionnent ensemble, au cours du troisième mois de la gestation, et forment d'abord deux canaux séparés par une cloison sagittale médiane appelée le septum utéro-vaginal, puis en deuxième temps fusionnent entièrement pour constituer un tube à lumière unique appelé canal génital ou canal utéro-vaginal obstruée à son extrémité distale par une cloison transversale appelée la plaque vaginale formée par un bloc de tissu d'origine encore indéterminée.

  • Le canal utéro-vaginal deviendra :

    • 1 - L'utérus qui se forme à partir de la portion crâniale du canal utéro-vaginal
      • Les portions proximales non fusionnées des conduits paramésonéphriques (canaux de Müller) donneront les trompes utérines et leur partie crâniale, ouverte dans la cavité cœlomique, forme le pavillon tubaire.

    • 2- La portion supérieure du vagin à partir de la plaque vaginale plaque qui s'allonge, entre le 3e et le 5e mois de la gestation, puis se canalise ultérieurement. Dans cette portion vaginale s'abouche l'orifice externe du col de l'utérus.

  • Le tubercule sinusal (tubercule de Müller) qui évolue dans la paroi postérieure de l'urètre s'épaissit et forme deux renflements appelés bulbes sinu-vaginaux qui donneront la partie inférieure du vagin ; cette partie du vagin se connecte à la partie supérieure naissant de la plaque vaginale.

  • La jonction entre le vagin et le sinus urogénital définitif (le vestibule vulvaire) se caractérise par la persistance de la paroi du sinus urogénital primitif sous forme d'une membrane endodermique ; cette membrane se dégénérera partiellement pour former l'hymen à l'entrée du vagin.

  • Seul l’épithélium de l'utérus et du vagin dérivent de ce processus embryologique décrit précédemment ; il s'agit tissus d'origine endodermique ; les composantes musculaires et conjonctives des ses organes génitaux internes proviennent des tissus mésodermiques avoisinants.

  • Les canaux de Wolff (conduits mésonéphriques) disparaissent (en raison de l'absence de la testostérone) et ne laissent que quelques reliquats embryonnaires.

  • Les cloisons vaginales :

    • La cloison vaginale transversale est probablement due à un défaut de la connexion entre la portion vaginale supérieure provenant de la plaque vaginale (dérivée des canaux de Müller) et la portion vaginale inférieure provenant des des bulbes sinu-vaginaux (dérivées de la paroi postérieure de l'urètre).
      Les cloisons vaginales transversales complètes se manifestent par une aménorrhée primaire et d'hématocolpos (collection du sans dans le vagin) dans le compartiment vaginal au-dessus de cette cloison.

      Dans les cloisons vaginales transversales partiellement perméable, selon le degré de la perméabilité, elles peuvent se manifester par des hématocolpos modérés, surtout au cours des menstruations avec dysménorrhée et dyspareunie (vagin sexuellement fonctionnel court), et enfin dans les cloisons suffisamment perméables pour une évacuation complète du sang des règles, la seule manifestation clinique sera la dyspareunie.

    • Les cloisons vaginales longitudinales sont dues à un défaut de résorption du septum utéro-vaginal qui peut être seulement au niveau de la cavité utérine donnant les utérus cloisonnés (à des degrés variable selon le niveau du défaut) ou au niveau du vagin (sa portion qui dérive du plaque vaginal) donnant les vagins cloisonnés sgittalement.

  • Références
    - J. Poirier, M. Catala, I. Poirier, J. Baudet. Leçons d'embryologie humaine. 4° édition. Maloine 2005.
    - Larsen. Embryologie humaine. 2° édition française. de boeck 2003.

Auteur Dr Aly ABBARA
10 Juillet, 2016

Contacter Dr Aly ABBARA
  Paris / France