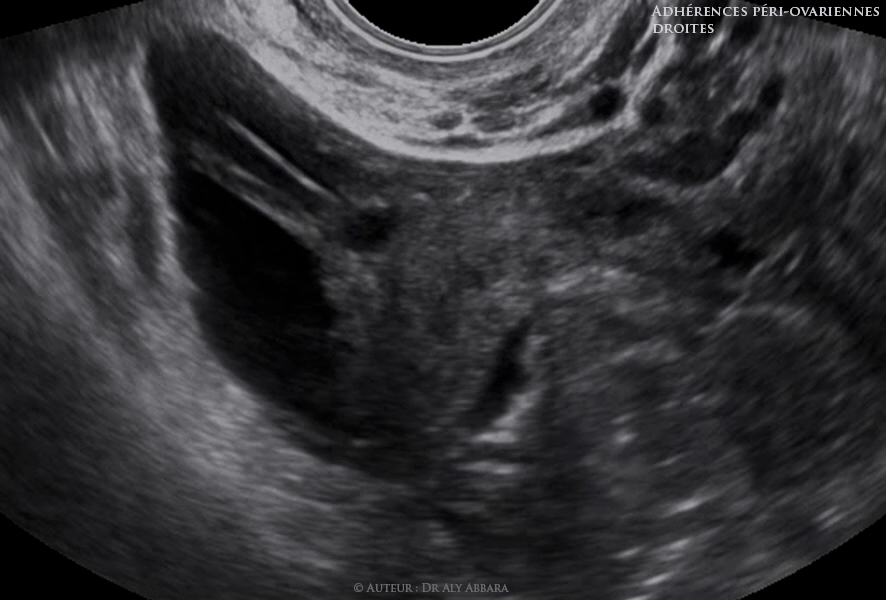
Adhérences péri-ovariennes droites (brides et voiles) fixant l'ovaire à la paroi latérale du pelvis - images échographiques


Séquences vidéo et images échographiques mettant en évidence la présence d'adhérences péri-ovariennes droites sous forme de brides et voiles fixant l'ovaire à la paroi latérale du pelvis.

La présence d'un épanchement péri-annexiel droit a permis de visualiser échographiquement ces phénomènes adhérentiels annexiels droits, ce qui n'est pas le cas au niveau des annexes utérines gauches.

Cliniquement : patiente âgée de 35 ans, mère d'un enfant et consultant pour une infertilité secondaire de 18 mois sans d'autres symptômes ou signes associés.


Auteur Dr Aly ABBARA
6 Juillet, 2019

Contacter Dr Aly ABBARA
  Paris / France