Kyste ovarien mixte, mucineux et dermoïde - Images échographiques

Kyste ovarien mixte, mucineux et dermoïde - Images cliniques


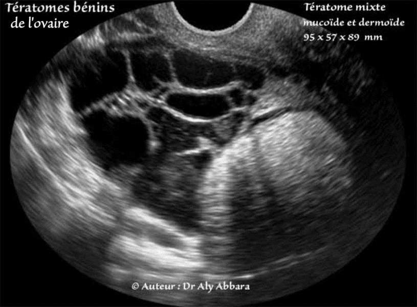
Tératome bénin de l'ovaire (kyste dermoïde) comportant une composante mucineuse (kyste mucineux bénin)
5 % des tératomes bénins de l'ovaire comportent une composante mucineux (cystadénome mucineux)
Autrefois, cette variété mixte fut appelée kyste dermomucoïde (Lebert, 1852)

Série d'images échographiques montrant les différents aspects et la composition d'une tumeur ovarienne
comportant deux composantes : dermoïde et mucineuse.
Auteur : Dr Aly Abbara
Mise à jour : le 7 Décembre, 2020

L'examen anato-pathologique de ce tératome bénin multissulaire est le suivant :
Tumeur kystique à surface est bosselée, mais sans végétation externe. La cavité principale contient un matériel jaunâtre pâteux constitué par du sébum et des cheveux. Plusieurs cavités accessoires renferment un contenu filant et translucide. Un fragment d'os et une dent sont visibles dans la paroi kystique.
Histologiquement, la cavité principale est tapissée par une bordure de type épidermique souvent détruite par réaction gigatocellulaire. Des annexes sudoripares et sébacées nombreuses sont visibles dans la paroi. D'autres cavité sont tapissées par bordure cylindrique mucipare parfaitement régulière reposant sur une bande de tissu conjonctif renfermant quelques adipocytes, quelques trousseaux musculaires lisses et occasionnellement quelques petites bandes de tissu glial.
Conclusion : dysembryome pluritissulaire complexe, mature (kyste dermoïde) de l'ovaire droit. Pas de signe histologique de malignité.
Gynécologie Obstétrique
Utérus


Site du Dr Aly Abbara