Tumeur ovarienne gauche bénigne stromale sclérosante chez une adolescente de 16 ans - images échographiques


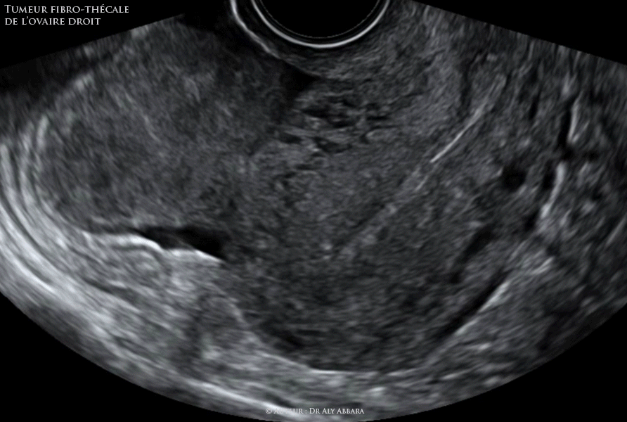
Séquences Vidéo et images échographiques mettant en évidence la présence d'une tumeur ovarienne droite, solide, mesurant 36 x 49 x 81 mm (environ 74 cm3), mobile, bien vascularisée (par l'analyse des signaux du Doppler couleur) et associée à la présence d'une ascite modérée seulement pelvienne.

Cliniquement : patiente âgée de 36 ans, mère de deux enfants, chez laquelle il a été découverte fortuitement lors d'une IRM abdomino-pelvienne, dans le cadre d'un bilan d'exploration d'une pleurésie gauche, cette masse ovarienne solide est asymptomatique. Diagnostic évoqué : syndrome de Demons-Meigs

Les dosages des marqueurs tumoraux sériques sont normaux : Antigène carcino-embryonnaire (ACE), Antigène CA 125, Antigène CA 19,9 et α-foetoprotéine.

L'exploration per-opératoire confirme qu'il s'agit d'une tumeur solide évoluant au dépens de l'ovaire droit, sans végétations exophytiques ni implants péritonéaux, ni phénomène adhérentiel. Trompe utérine droite, annexes utérines gauches, utérus et le reste de l'exploration abdomino-pelvienne est sans particularité.

Présence d'une ascite modérée occupant le petit pelvis.

L'examen anatomopathologique montre :

Il s'agit d'une formation solide, nodulaire, jaunâtre et friable. La formation nodulaire est constituée de prolifération de cellules fusiformes ou parfois ovoïdes dont les noyaux sont allongés, aux extrémités arrondies, à chromatine dense et homogène. La densité cellulaire est modérée. Ces cellules se disposent parallèlement, formant des faisceaux parfois enchevêtrés. Absence d'atypie cytonucléaire et de mitose. Absence de remaniement nécrotique et de dépôt calcique.
En périphérie on observe un peu de tissu fasciculé ovarien abritant des kystes fonctionnels lutéaux.

L'analyse cytologique réalisée sur le prélèvement de l'ascite péritonéale montre qu'il s'agit d'un liquide péritonéal à cellularité pauvre, comportant quelques cellules histiomacrophagiques et mésothéliales, de rares petits lymphocytes et des nappes d'hématies non lysées. Absence de cellules suspectes de malignité.

Conclusion :
Tumeur ovarienne solide du groupe fibro-thécal (fibro-thécome) classée parmi les tumeurs ovariennes du stroma gonadique), à type de fibrome ovarien. Absence de critère morphologique de malignité.

Fibrome de l'ovaire et le syndrome de Demons-Meigs :

  • Classiquement, les fibromes de l'ovaire sont des tumeurs solides et bénignes de l'ovaire, ils s'accompagnent souvent d'ascite et parfois d'hydrothorax (épanchement pleural), ce qui constitue le syndrome de Demons-Meigs, décrit par Demons en 1907, puis par Meigs en 1940. Il s'agit d'une triade associant :
    • « Tumeur de l'ovaire + ascite + épanchement pleural »

  • La tumeur ovarienne dans le syndrome de Demons-Meigs est en général solide, bien mobile et de volume moyen ; le plus souvent un fibrome, mais il a été trouvé dans certains cas, des tumeurs de Brenner, de Thécomes et goitres ovariens.

  • L'ascite est légère au départ, puis elle dominera le tableau clinique et paraclinique.

  • L'épanchement pleural peut être bilatéral, mais il siège souvent à droite quand il est unilatéral.

  • L'ascite et l'épanchement pleural régressent rapidement et spontanément après l'ablation de la tumeur ovarienne.

Auteur Dr Aly ABBARA
8 Mars, 2019

Contacter Dr Aly ABBARA
  Paris / France