Ovaires - Cystadénome ovarien bilatéral papillaire séreux à la limite de la maliginité (borderline) - Échographie

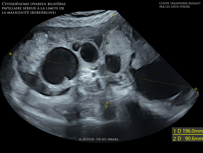
Annexes utérines : un cystadénome ovarien bilatéral, papillaire, séreux à la limite de la malignité (borderline) :

Il s'agit échographiquement d'une volumineuse tumeur ovarienne bilatérale multiloculaire, mixte, comportant de formations solides et d'autres liquidiennes caractérisées par la présence d'importantes végétations endophytiques et parfois exophytiques.

L'ensemble de cette tumeur bilatérale ovarienne forme une masse de 196 mm de large et 90,6 mm de hauteur. La composante ovarienne droite mesure 87 x 66 mm de grande axe, et celle de l'ovaire gauche mesure 110 x 73 x 101 mm.

L'utérus et l'endomètre sont sans particularité.

Il existe une importante quantité d'ascite abdomino-pelvienne atteignant l'espace de Morison, mais cliniquement peu perceptible.


Il s'agit d'une patiente âgé de 32 ans, mère d'un enfant de 2 ans, se plaignant de discrètes douleurs pelviennes évoluant depuis plusieurs mois.

Les dosages des marqueurs tumoraux mettent en évidence l'augmentation du taux d'antigène CA 125 : 598 UI/ml (normal > 35) ; HE4 : 95 pg/ml (normal < 92) ; Roma Risk : 31,1 % exprimant un risque élevé de malignité.

TEP scan ne montre pas la présence d'adénopathie hypermétabolique.

Macroscopiquement les trompes et l'utérus paraissant normales ; les deux ovaires sont le site de volumineuses tumeurs :
* l'ovaire droit (annexectomie droite) de 7 à 8 cm de grand axe, à surface comportant des végétations exophytiques ;
* l'ovaire gauche (tumorectomie de l'ovaire gauche avec conservation des annexes) de 12 à 13 cm de grand axe présentant des voussures nodulaires et des végétations exophytiques.

A la coupe anatomopathologique, il s'agit de tumeurs multilocualires à contenu liquidien, jaunâtre, non mucoïde avec paroi interne bourgeonnant et présentant des végétations endophytiques.

Histologiquement les tumeurs sont composées de multiples structures papillaires et végétantes, bordées de plusieurs assises de cellules à noyau de taille moyenne, avec peu de dyscaryose. Les mitose sont peu nombreuses. Les axes sont œdémateux ou fibreux, avec souvent des remaniements inflammatoires notamment à polynucléaires. Pas d'aspect d'invasion tumorale.

Les prélèvements péritonéaux montre un péritoine pré-rectal comportant des implants non invasifs. L'épiploon ne comporte pas lésion tumorale ou ganglionnaire.

Le liquide péritonéal (l'ascite) est hémorragique paucicellulaires avec des cellules épithéliales sans atypiques.


Voir également : cystadéno-carcinome séreux de l'ovaire droit, de haut grade - Échographie



Auteur Dr Aly ABBARA
9 Mars, 2019

Contacter Dr Aly ABBARA
  Paris / France