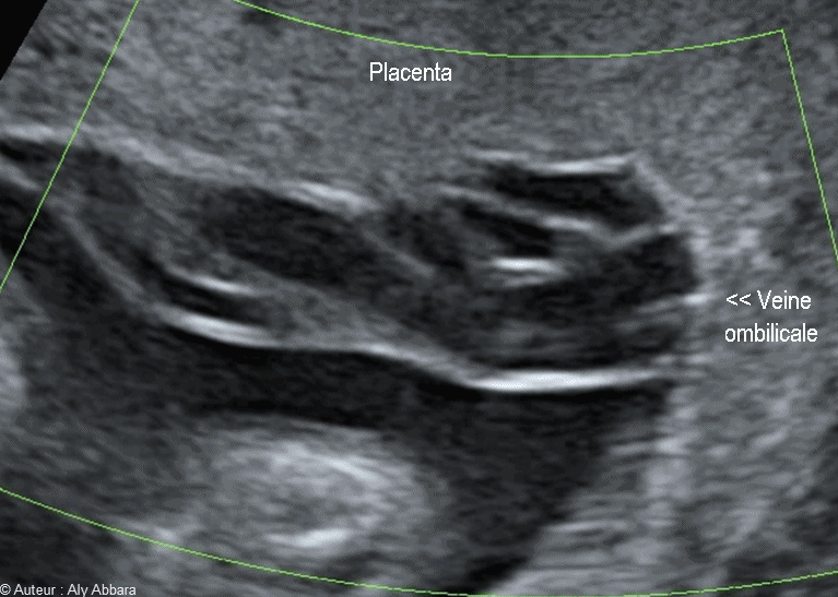
Le flux sanguin dans la veine ombilicale naissant du bord du placenta - الدوران الدموي داخل الوريد السري إبتدأً من منشأه من المشيمة

  • Vidéo échographique montrant le flux sanguin (en Doppler type Dynamic-Flow et écho 2D) dans la veine ombilicale au niveau de sa naissance sur le bord du placenta.

    تصوير متحرك بالأمواج ما فوق الصوتية يظهر الدوران الدموي داخل الوريد السري إبتدأً من منشأه من المشيمة. اِتجاه سيلان الدم : من المشيمة إلى الجنين

  • La direction du flux sanguin dans la veine ombilicale : placenta > foetus

  • Grossesse de 33,5 SA

 

 Auteur : Dr Aly Abbara
Mise à jour : le 29 Janvier, 2016
 

aly-abbara.com
avicenne.info
mille-et-une-nuits.com
Paris / France