Placenta à 28 SA - L'aspect de la caduque à  l"échographie 2D et au Doppler Flow- Dynamic


  • Images échographiques par voie transpariétale abdominale mettant en évidence l’aspect habituel et normal de la zone de l'insertion du placenta sur la paroi de l'utérus :
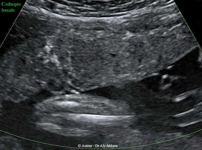
    Sur une coupe parfaitement sagittale (plan vertical, perpendiculaire au plan vu de face de la paroi utérine et du placenta) on peut distinguer quatre couches distinctes :
    • I- La paroi abdominale de la femme enceinte
    • II- La paroi de l'utérus (le myomètre)
      III- Le placenta
    • IV- Puis entre le myomètre et le placenta on peut observer la présence d'un liseré hypo-an-échogène séparant le myomètre du placenta ; ce liseré correspond anatomiquement à la caduque basale et son riche réseau veineux qui constituent le plan de clivage physiologique du placenta lors de la délivrance.

      Un des signes évoquant le diagnostic de " placenta accreta " est la disparition de ce liseré, car cela témoigne de la disparition de la caduque basale et l'insertion directe des villosités trophoblastiques sur le myomètre (un organe juxtaposé en particulier la vessie quand il s'agit de placenta praevia antérieur percreta).


Les images publiées dans cette page ont été réalisées chez une femme enceinte de 28 semaines d'aménorrhée.


 

 Auteur : Dr Aly Abbara
Mise à jour : le 6 Octobre, 2022
 

aly-abbara.com
Paris / France