Séquence vidéo et images échographiques montrant un spina bifida aperta (non fermeture du tube neural) étendu sur le rachis lombo-sacré et les dernières vertèbres dorsales chez un foetus âgé de 15 SA.
Il s'agit d'un balayage axial du rachis mettant en évidence la "non fermeture tube neural" par le défaut de formation de l'arc vertébral (c'est-à-dire les lames de l'arc vertébral et le processus épineux) des vertèbres dorsales distales, lombaires et sacrées. Cette anomalie étendue est associée à l'absence des méninges ce qui laisse la plaque neurale en contact direct avec le liquide amniotique (myéloschisis).
Les vertèbres touchées par cette anomalie sont réduites aux trois structures anatomiques restantes : le corps vertébral en avant et latéralement les deux pédicules de l'arc vertébral qui dessinent ensemble un "V" largement ouvert vers l'arrière comme un récipient contenant la plaque neurale.
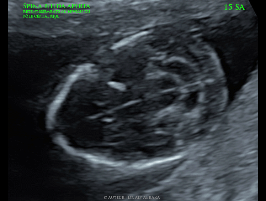
Les retentissements observés chez ce foetus au niveau du pôle céphalique sont :
- Le signe du citron :
Il s'agit d'une anomalie du contours du pôle céphalique fœtal lui donnant, sur la coupe axiale, l'aspect d'un citron par le rétrécissement et l'incurvation du contours céphalique au niveau des os frontaux (feston frontaux) ; cette anomalie peut être expliquée par l'étirement du cerveau fœtal vers la fosse postérieure et vers la base du crâne avec l'adaptation des os frontaux à cette anomalie de la position et du volume du cerveau.
- Le signe de la banane (décrit par Campbell) :
Dans cette anomalie, , l'écrasement et l'étirement en longueur et l'abaissement du cervelet vers la base du crâne et son incurvation vers l'avant lui donnent cette forme particulière qui ressemble à une banane coiffant le tronc cérébral. Le signe de la banane fait partie des élément de l'anomalie d'Arnold-Chiari :
- Il s'agit d'un étirement du tronc cérébral et du cervelet vers la base postérieure du crâne et vers le canal rachidien, rendant parfois le cervelet invisible échographiquement.
- Chez ce foetus, les images échographiques montrent un net rapprochement des cornes postérieures des ventricules latéraux en direction de la ligne médiane sagittale des lobes occipitaux du cerveau.
- La dilatation des ventricules cérébraux (mégaventricule et hydrocéphalie) n'est pas encore observable dans le cas décrit dans cet article :
Habituellement cette dilatation des ventricules cérébraux se produit en cas de spina bifida,
par l'étirement, le rétrécissement ou l'obstruction de l'aqueduc de Sylvius qui est à l'origine des anomalies de la circulation du liquide céphalorachidien et par conséquence, la dilatation du système ventriculaire cérébral.