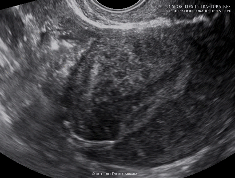
Utérus - Dispositif contraceptif définitif intra-tubaire - Aspects échographiques

Images échographiques animées montrant les différents aspects échographiques du dispositif contraceptif définitif intra-tubaire (DIT) correctement posé.

Cette méthode de stérilisation tubaire définitive qui fut commercialisée à partir de 2002, elle n’est plus commercialisée en France depuis le 18 septembre 2017.


Auteur Dr Aly ABBARA
22 Juin, 2019

Contacter Dr Aly ABBARA
  Paris / France