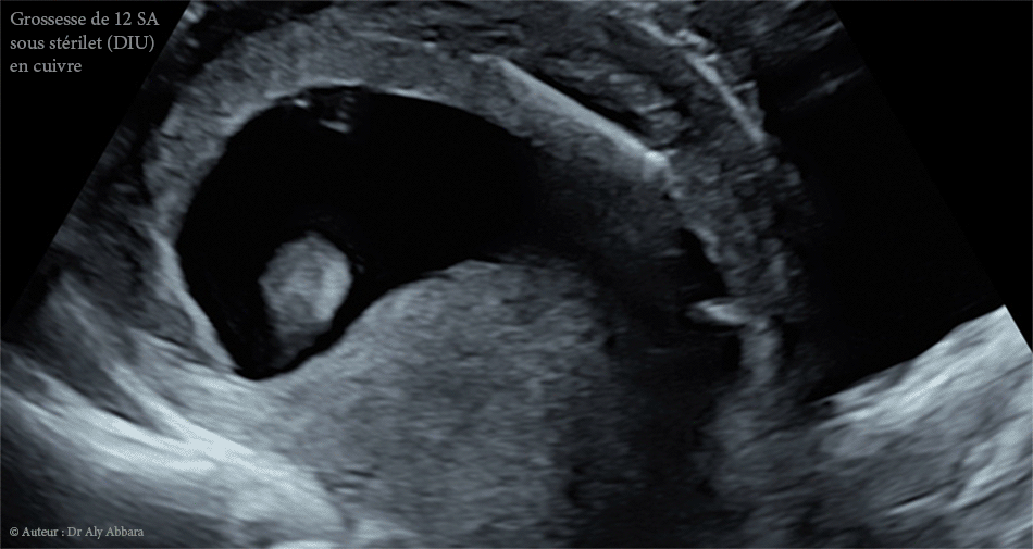
Grossesse intra-utérine évolutive de 12 SA sous DIU (stérilet) au cuivre - Échec de l'effet contraceptif

 Images échographiques et séquences vidéo montrant une grossesse intra-utérine évolutive de 12 SA (Longueur crânio-caudale "LCC" = 55,8 mm) survenant sous DIU contraceptif.

• Il s'agit d'un échec de contraception par un dispositif intra-utérin (DIU) au cuivre, en forme de T, déplacé et retenu entre la paroi antérieure de la cavité utérine et la face maternelle du placenta. Fil de stérilet est introuvable au niveau de l'orifice externe du col utérin et le canal endocervical.

L’efficacité contraceptive des dispositifs intra-utérins (DIU - stérilets) :
Selon le rapport de l'OMS (2011) :
Planification familiale - Un manuel à l'intention des prestataires de services du monde entier (mise à jour 2011).

• DIU au cuivre type TCu-380A :
Moins d'une grossesse pour 100 femmes en utilisant un DIU pendant la première année (soit 6 à 8 grossesses pour 1000 femmes). Cela signifie que 992 à 994 femme sur 1000 utilisant le DIU ne tomberont pas enceintes.

Un petit risque de grossesse subsiste au-delà de la première année d'utilisation et continue aussi longtemps que la femme utilise le DIU.
Sur 10 années d'utilisation du DIU TCu-380A : environ 2 grossesses pour 100 femmes (soit 20 grossesses pour 1000 femmes).

• 
DIU hormonal au lévonorgestrel (DIU-LNG)

Moins d'une grossesse pour 100 femmes en utilisant un DIU-LNG pendant la première année (2 grossesses pour 1000 femmes). Cela signifie que 998 femme sur 1000 utilisant le DIU-LNG ne tomberont pas enceintes.

Un petit risque de grossesse subsiste au-delà de la première année d'utilisation et continue aussi longtemps que la femme utilise le DIU.
Sur 5 années d'utilisation du DIU-LNG : moins d'une grossesse pour 100 femmes (5 à 8 pour 1000 femmes).
Approuvé jusqu'à 5 ans d'utilisation.

Consulter également l'efficacité des différentes méthodes contraceptives (indice de Pearl) - OMS 2017


Auteur Dr Aly ABBARA
3 Juillet, 2021

Contacter Dr Aly ABBARA
  Paris / France