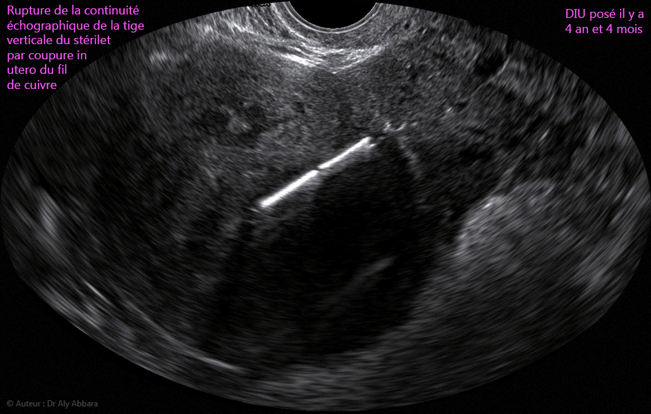
Images échographiques et séquence vidéo montrant, sur des coupes sagittales de l'utérus, la rupture de la continuité échographique de la tige verticale d’un DIU par coupure, in utero, de son fil de cuivre


• Images échographiques et séquence vidéo montrant, sur des coupes sagittales de l'utérus, la rupture de la continuité échographique de la tige verticale d’un DIU par coupure, in utero, de son fil de cuivre.

• Il s'agit d'un dispositif in utero (DIU ou stérilet) posé dans la cavité utérine il y a 4 ans et 4 mois ; on peut supposer que l'origine de l'amincissement puis la fragilisation et enfin la coupure in utero du fil de cuivre sont dues à la libération en continu, durant toute cette période, du cuivre contenu dans ce fil enroulant la tige verticale du DIU.


Auteur Dr Aly ABBARA
13 Mars, 2021

Contacter Dr Aly ABBARA
  Paris / France