DIU au cuivre : déplacemet vers le canal endocervical sous l'effect des contractions utérines

DIU au cuivre : déplacemet vers le canal endocervical sous l'effect des contractions utérines

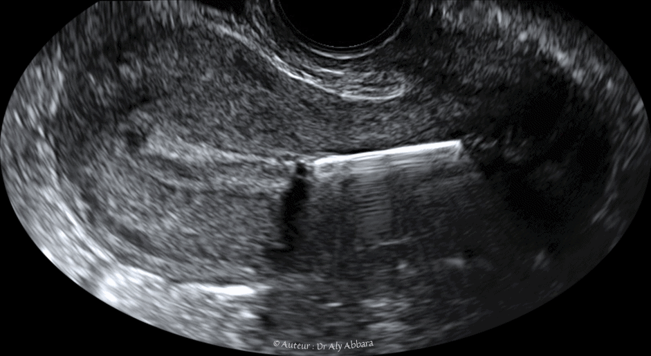
Tolérance et intolérance de l'utérus vis-à-vis des dispositifs intra-utérins : DIU

• Images échographiques montrant, sur une coupe sagittale médiane et sur une coupe coronale (frontale), un utérus normal avec le phénomène particulier de rejet de DIU en le déplaçant vers le canal endocervical.

• Ce DIU a été posé trois mois auparavant en remplacement d'un autre DIU qui fut toléré par cet utérus durant deux ans puis il a été expulsé vers le canal cervical sous l'action des contractions utérines.

• Il ne s'agit pas d'un défaut de pose du DIU, parce que le contrôle échographique immédiat après sa mise en place confirme son emplacement correct dans la cavité utérine ; donc de nouveau, pour une raison reste inconnue, l'utérus de cette femme ne tolère plus et rejette ce type de corps étranger après une longue période de tolérance de deux ans (pour le premier DIU).

• Le premier et le deuxième DIU sont exactement du même modèle.

• Le fait que ce DIU possède des crochets latéraux explique pourquoi, une fois que l'utérus l'a expulsé de sa cavité corporéale, il reste souvent accroché aux parois latérales du canal endocervical (comme le montre la 2ème image de cet article).


Auteur Dr Aly ABBARA
13 Mars, 2021

Contacter Dr Aly ABBARA
  Paris / France