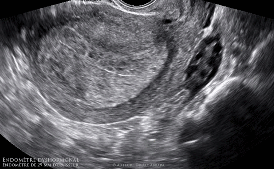
Utérus : endomètre dyshormonal de 29 mm d'épaisseur ; il s'agit d'un épaississement asymétrique : endomètre postérieur = 18 mm / endomètre antérieur = 11 mm.
Cliniquement cette pathologie se manifestait par des métrorragies depuis plusieurs mois rebelles au traitement hormonal (progestatif) et hémostatique.
• La patiente est âgée de 29 ans, mère de deux enfants.
• L’hystéroscopie exploratrice montre qu'il s'agit d'un important épaississement prédominant au niveau de l'endomètre postérieur qui prend un aspect polypoïde et cérébroïde.
• L'examen anatomopathologique :
Il s'agit d'un endomètre dyshormonal et non dysplasique, ayant des caractéristiques d'une imprégnation progestative (exogène ?) ; il est constitué de glandes tubuleuses ou rectilignes peu abondantes au sein d'un chorion cytogène pseudodécidualisé. Les glandes sont tapissées par un épithélium cubo-cylindrique sans atypies cytonucléaires, sans activité mitotique et sans activité sécrétoire.
Conclusion :
Endomètre dyshormonal ayant des caractéristiques d'une imprégnation progestative ; il ne présente pas d'atypie ou dysplasie.